[Einzeitiger Rettungseingriff nach Kapselfibrose bei Brustimplantaten mit durch wasserstrahl-assistierter Liposuction gewonnenem autologem Fettgewebe („BEAULI-Methode“)]
Klaus Ueberreiter 1Ursula Tanzella 1
Felix Cromme 1
Dietrich Doll 2
Björn Dirk Krapohl 2
1 Park-Klinik Birkenwerder, Fachklinik für Plastische und Ästhetische Chirurgie, Birkenwerder, Germany
2 Bundeswehrkrankenhaus Berlin, Department für Plastische Chirurgie und Handchirurgie, Berlin, Germany
Zusammenfassung
Mit steigender Zahl an Patienten, die im Rahmen einer Augmentation oder Rekonstruktion mit Silikonbrustimplantaten versorgt werden, sind wir auch zunehmend mit Kapselkontrakturen konfrontiert. Nicht immer lässt sich das Problem mit Kapselexzision und Implantatwechsel lösen. Viele Patientinnen ertragen lieber die Folgen der Kontraktur als das Implantat entfernen zu lassen. Einzeitige Implantatentfernung und Lipofilling sind hoch effizient und führen zu hoher Patientenzufriedenheit.
Zwischen Januar 2008 und Oktober 2012 behandelten wir insgesamt 64 Patientinnen (124 Brüste) im Stadium Baker II und IV der Kapselfibrose mit autologem Fetttransfer, wobei das Fettgewebe mit dem Body-jet® durch wasserstrahl-assistierte Liposuction („BEAULI-Methode“) gewonnen wurde. Kerspintomografisch konnten wir 5 Patientinnen unmittelbar und fünf Monate nach Operation nachuntersuchen. Klinische und fotografische Dokumentation erfolgte bei allen Patientinnen am 1. postoperativen Tag, nach 4 Wochen, nach 12 Wochen und nach 6 Monaten. Unsere Prozedur schloss Implantatentfernung und Lipofilling im subkutanen und intramuskulären Gewebe als einzeitiges Vorgehen ein, die sog. BEAUL-Methode.
Durchschnittlich wurden je Brust 260 ml reines Fett transferiert. Die durchschnittliche Drainagedauer lag bei einem Tag. Dier Brustform veränderte sich mehr zu einer natürlichen ptotischen Projektion. Wir sahen keine negativen Folgen wie Ölzysten oder Infektionen. Die Gesamtoperationszeit betrug je Patientin 70±15 min.
Wiederkehrende Kapselfibrose ist ein bekanntes Risiko in der Plastischen Chirurgie. Bisher war das übliche Vorgehen nach zwei fehlgeschlagenen Implantataugmentationen die Kapselexzision und die definitive Implantatentfernung, ggf. gefolgt von autologem Gewebetransfer in Form von mikrovaskulären gestielten oder freien Lappen. Wir konnten nun ein relativ einfaches und effizientes Verfahren etablieren: Der autologe Fetttransfer mit wasserstrahl-assistierte Liposuction und der o.g. BEAULI-Methode.
Schlüsselwörter
Brustimplantate, Mammaaugmentation, Kapselfibrose, autologer Fettgewebstransfer, wasserstrahl-assistierte Liposuction
Introduction
With increasing number of patients with silicone implants for aesthetic breast augmentation or for reconstruction we are confronted with more and more cases of capsular contracture. There is a wide range of estimated incidence in current literature. Two years after implantation the contracture rate is presumably around 4% [1], [2], [3]. An incidence of at least 10% Baker III and IV contracture within 10 years after primary aesthetic indication seems realistic [4].
Not every case is resolved by resection of the capsule and exchange of implants. The rate of reoccurrence is lower (10%) after total capsulectomy [4], but in some patients this leads to insufficient coverage of the implant. All the incidence rates of reoccurrence cited in literature differ a lot depending on study design and observation interval. The surface of the implants seems to be of minor importance in the long-term.
Many patients rather bear the consequences of capsular contracture for fear of dramatic change in appearance or for lack of financial means.
Autologous fat transfer bears the chance to keep at least some breast volume in patients with capsular contracture who do no longer want to have a silicone implant. In this study we also quantified breast volume and transferred fat after autologous fat grafting in a number of patients with capsular fibrosis using MR imaging.
Material and methods
Between February 2008 and October 2012, a total of 64 patients with capsular contracture were treated with autologous fat grafts collected by water-assisted liposuction (“BEAULI Method”) (Table 1 [Tab. 1]).
All of the patients treated did not wish to receive a new silicone implant but a definite removal. They were informed about the estimated change of breast form and appearance postoperatively and the possible loss of volume. All patients were healthy and free of any conditions opposed to operation or anaesthesia.
All 64 aesthetic patients underwent MRI examination preoperatively and six months postoperatively. Weight and height measurements were taken. The fat was harvested from the abdominal wall, hip and thigh area.
The amount of fat to be harvested was calculated roughly according to the existing implants or less in cases of unreasonably large implants or a lack of sufficient fat to harvest.
The fat was harvested with the BEAULI™ method. It consists mainly of to principles:
- Water-jet assisted liposuction with the body-jet, a device emitting a water beam for infiltration and suction in one step [5].
- Fat harvesting and separation with the LipoCollector (Figure 1 [Fig. 1]), a device to collect the aspirated fat, and separates the fat from saline (tumescence fluid) and rough connective tissue into a sterile container on the instrumentation table. The washed fat is thus ready for reinjection. The harvesting procedure takes between 40 and 70 minutes, the time for reinjection between 15 and 25 minutes.

Figure 1: LipoCollector fat collection and separation system
All areas that were selected for harvesting the fat were treated with a basic infiltration according to the wet technique by means of the body-jet using range 2–3, and its infiltration cannula. The solution used was a classical tumescence solution described by Klein [6] which was warmed to 37 to 38°C (98–100°F).
After a minimum interval of 10 min after beginning infiltration liposuction is started using a 3.8 mm body-jet WAL cannula with effective suction openings of 0.9 mm. Thus harvesting of very tiny pieces of fatty tissue is possible, ready for immediate refilling with the small BEAULI™ injection cannulas. By adjusting the negative pressure of the body-jet to –0.5 bar (7 PSI), additional destruction of fat cells is avoided. Lower negative pressure is usually ineffective and leads to frequent obstruction of the suction device.
Collection of sufficient volume of fat tissue (average 500–600 ml) takes about 30–45 min. The fluid from the consistently applied flushing with tumescent solution is separated from the fat tissue in the LipoCollector. The fat is removed from the collector by means of BEAULI™ aspiration cannulas into 50 cc syringes (for an easier count of fat cell volume and to avoid contact with air) and from there transferred into 10 cc syringes.
Spinning of the harvested fat is not necessary. The remaining liquid represents the same amount as after decantation and accounts for about 28% of the gross volume. This is a very constant result we found in 2.55 years of experience with the BEAULI™ System after investigational centrifugation of a small portion of 2x10 cc in every performed procedure (over 200 procedures by now). With a calculated a definite take rate of 75% of the grafted fat net volume [7] we achieve a volume gain of about 50–60% of the injected gross volume.
Operation technique
I. Removal of the implant
The old scar of the implantation site is removed and the implant extracted. The capsule is not removed. Swaps are routinely taken. A thorough sponging of the interior side of the capsule is followed by the application of betadine/sodium chloride solution enriched with cephalosporine and gentamicine.
Injection starts by infiltrating the pectoralis major muscle, where about one third of the fat can be deposited. If the implant had been inserted submuscularly, it is helpful to stretch the muscle with the help of a clamp (see Figure 2 [Fig. 2]).
Figure 2: Sponging of the capsule after sub-muscular implant removal 
II. Infiltration of the muscle
After the muscle has been filled with fat, the subcutaneous plane is infiltrated. By use of the long BEAULI infiltration cannula no additional incisions are required to reach every part of the breast. Infiltration into the gland is strictly avoided.
The breast is filled up to a condition which you can describe with “firm but not tight”. It is not possible to improve the final volume by overfilling. The additional pressure destroys more cells, and the risk of cysts and calcifications is rising (see Figure 3 [Fig. 3], Figure 4 [Fig. 4], Figure 5 [Fig. 5]).
Figure 3: Preparation of fat tissue infiltration after removal of a sub-muscular implant under digital control
Figure 4: Fat infiltration into the pectoralis major muscle after removal of a sub-glandular implant
Figure 5: Subcutaneous plane fat infiltration. While pressing against the breast with one hand it is easy to reach the entire subglandular region.
III. Vacuum drainage and closing of the wound
After the procedure, a vacuum drainage is inserted into the empty capsule; the wound is closed in two layers. Usually the drain can be removed within two days (see Figure 6 [Fig. 6]).
Figure 6: Situation at the end of the operation with drainage of the capsule
Results
From February 2008 to June 2012 68 patients with capsular contracture Baker III and IV were treated. 21 of them had undergone previous procedures of implant exchange and capsular resection or incision. They all wished a definite removal of implants.
- Size of implants removed: 145–370 ml
- Volume of fat tissue (gross volume) injected: 180–320 ml (approximate net volume 140–240 ml)
- Average operation time: 75 min (62–115 min)
- Follow up: 6–56 months
- Patient satisfaction: all patients satisfied
- Change of breast form to a natural ptotic appearance
- Four patients received a second graft
In case of one patient with a BMI of only 17.5 and implant sizes of 265 ml and 305 ml, only 220 ml and 200 ml were grafted due to the lack of more fat to aspirate (see Figure 7 [Fig. 7]).
Figure 7: Patient with capsular contracture Baker IV Four photos on the left: Before removal of implants 265 ml and 305 ml. Two photos on the right: Fat grafting of 220 ml and 180 ml at 1 year post-operatively (BMI of patient = 17.5).
In a second case implants of 370 ml were removed and 260 ml of fat transferred because the patient disliked the volume of the previously inserted implants. Like all other patients, both of these patients were highly satisfied with the result (see Figure 8 [Fig. 8], Figure 9 [Fig. 9]).
Figure 8: Two photos on the top: Status after breast augmentation by a non-specialized surgeon. Two photos on the bottom: Result 1 year after implant removal, fat grafting and areola tightening.
Figure 9: Patient with capsular contracture Baker III–IV after 8 years a (side): Photo on the top, left side: before breast augmentation; top right: after sub-muscular implantation; bottom left: 8 years after implantation with capsular contracture III–IV; bottom right: 1 year after autologous fat grafting. b (front): Photo on the top, left side: before breast augmentation; top right: after sub-muscular implantation; bottom left: 8 years after implantation with capsular contracture III–IV; bottom right: 1 year after autologous fat grafting. 
MRI investigations
Magnetic resonance imaging (MRI) of the breasts was performed in 5 patients preoperatively and 6 months postoperatively. The evaluation by MRI based volumetry gave inconsistent results, presumably due to the fact that volume (the implant) is first removed, and then added by fat grafting in one procedure. Also, the form of the preoperatively often very tight breasts changed dramatically. All MRI showed massive increase in fat tissue. No cysts were observerd.
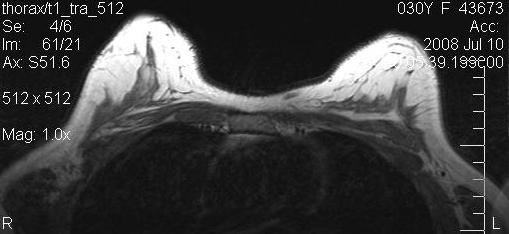
Figure 10 [Fig. 10] and Figure 11 [Fig. 11] show the MRIs of a patient pre- and postoperatively.
Figure 10: Preoperative MRI of a patient with capsular contracture 
Figure 11: Postoperative MRI of the same patient after implant removal and subsequent fat grafting 
The next two images show the preoperative and postoperative MRI scans of the patient of Figure 6 [Fig. 6] with capsular fibrosis after complete subpectoral placement (Figure 12 [Fig. 12], pre-op), and after implant removal and fat grafting (Figure 13 [Fig. 13], post-op). Remainders of the capsule are not to be seen after the procedure. The amount of fat grafted was only 2/3 of the implant volume. The patient was extremely pleased with the result and did not wish further volume increase.
Figure 12: Preoperative MRI of a patient with capsular fibrosis after complete subpectoral placement 
Figure 13: Postoperative MRI of the same patient after implant removal and fat grafting. Remainders of capsule are not to be seen. 
Discussion
Capsular contracture is the most common complication after breast augmentation with silicone implants [1], [2], [3], [4], [8], [9], [10], [11], [12], [13], [14], [15], [16], [17], [18], [19]. For the patient this means disfiguration and pain, and after reoperation procedures frequently the constant fear of reoccurrence.
The standard treatment consists of an implant exchange and a complete or partial capsulectomy. Not a few patients endure the consequences of capsular contracture after several reoperations for lack of financial means or the high incidence of reoccurrence [12]. A new alternative consists in fat grafting around the implant to downgrade a capsular contracture [20]. This is definitely an alternative for patients who want to keep their implants. However, there are a significant number of patients who prefer a definite removal of the implants if this can be done without risking an impairment of breast appearance.
Fat grafting meanwhile is a safe and effective method of volume replacement in breast reconstruction [21], [22] as well as primary augmentation [23], [24], [25], [26], [27]. In now 1,197 years of publication history [28] there are no reports of a higher incidence of cancer after fat grafting to the breast.
The BEAULI™ method using water- jet assisted liposuction with the body-jet and the LipoCollector, produces definitive take rates (volume gain) of the transferred fat of 76+11% [29] while minimizing the risk of negative side effects like oily cysts etc.
MRI based volumetry which works very reliable in primary aesthetic procedures [7] did not show realistic results in these cases of fat grafting after capsular contracture and implant removal. Nevertheless the take rate in the pre-extended breast areas of these patients appears to be even higher than in other cases with more constrictive tissue.
In all our cases the remaining volume after implant removal and subsequent fat grafting was larger than before the previous silicone augmentation. The instillation of volumes of up to 320 ml of fat was easily performed without creating much tension of the tissue. That may be due to the pre-extension of the tissue by this method in a similar way like it is supposed to be after external extension [30]. The form of the breasts changed to a more ptotic and natural appearance and became soft and natural.
In none of the patients the capsule was removed. The removal of the capsular tissue would be contra productive to the infiltration of fat into the muscle due to the creation of an open roof with the risk of fat accumulation in the wound cavity. Although we left the complete capsule we observed no infection and no seroma.
With our method, the patients can be offered a safe and definite alternative to repeated implant changes and capsulectomies. Although we have only a short term follow up in this group, fat grafting in general is meanwhile considered a safe alternative with a long experience. The BEAULI™ collecting and separating system of fatty tissue offers a time sparing and effective procedure for autologous fat transfer.
Notes
Competing interests
The authors declare that they have no competing interests.
References
[1] Marques M, Brown SA, Oliveira I, Cordeiro MN, Morales-Helguera A, Rodrigues A, Amarante J. Long-term follow-up of breast capsule contracture rates in cosmetic and reconstructive cases. Plast Reconstr Surg. 2010 Sep;126(3):769-78. DOI: 10.1097/PRS.0b013e3181e5f7bf[2] Kulmala I, McLaughlin JK, Pakkanen M, Lassila K, Hölmich LR, Lipworth L, Boice JD Jr,Raitanen J, Luoto R. Local complications after cosmetic breast implant surgery in Finland. Ann Plast Surg. 2004 Nov;53(5):413-9.
[3] Henriksen TF, Hölmich LR, Fryzek JP, Friis S, McLaughlin JK, Høyer AP, Kjøller K, Olsen JH. Incidence and severity of short-term complications after breast augmentation: results from a nationwide breast implant registry. Ann Plast Surg. 2003 Dec;51(6):531-9. DOI: 10.1097/01.sap.0000096446.44082.60
[4] Cunningham B, McCue J. Safety and effectiveness of Mentor's MemoryGel implants at 6 years. Aesthetic Plast Surg. 2009 May;33(3):440-4. DOI: 10.1007/s00266-009-9364-6
[5] Araco A, Gravante G, Araco F, Delogu D, Cervelli V. Comparison of power water--assisted and traditional liposuction: a prospective randomized trial of postoperative pain. Aesthetic Plast Surg. 2007 May-Jun;31(3):259-65. DOI: 10.1007/s00266-006-0186-5
[6] Klein JA. Anesthesia for liposuction in dermatologic surgery. J Dermatol Surg Oncol. 1988 Oct;14(10):1124-32.
[7] Herold C, Ueberreiter K, Cromme F, Busche MN, Vogt PM. MRT-Volumetrie der Mamma zur Kontrolle der Fettresorptionsrate nach autologem Lipotransfer. [The use of mamma MRI volumetry to evaluate the rate of fat survival after autologous lipotransfer]. Handchir Mikrochir Plast Chir. 2010 Apr;42(2):129-34. DOI: 10.1055/s-0029-1243204
[8] Asplund O. Capsular contracture in silicone gel and saline-filled breast implants after reconstruction. Plast Reconstr Surg. 1984 Feb;73(2):270-5.
[9] Asplund O, Gylbert L, Jurell G, Ward C. Textured or smooth implants for submuscular breast augmentation: a controlled study. Plast Reconstr Surg. 1996 May;97(6):1200-6.
[10] Brown MH, Shenker R, Silver SA. Cohesive silicone gel breast implants in aesthetic and reconstructive breast surgery. Plast Reconstr Surg. 2005 Sep;116(3):768-79; discussion 780-1.
[11] Collis N, Coleman D, Foo IT, Sharpe DT. Ten-year review of a prospective randomized controlled trial of textured versus smooth subglandular silicone gel breast implants. Plast Reconstr Surg. 2000 Sep;106(4):786-91.
[12] Collis N, Sharpe DT. Recurrence of subglandular breast implant capsular contracture: anterior versus total capsulectomy. Plast Reconstr Surg. 2000 Sep;106(4):792-7.
[13] Gasperoni C, Salgarello M, Gargani G. Polyurethane-covered mammary implants: a 12-year experience. Ann Plast Surg. 1992 Oct;29(4):303-8.
[14] Handel N, Gutierrez J. Long-term safety and efficacy of polyurethane foam-covered breast implants. Aesthet Surg J. 2006 May-Jun;26(3):265-74. DOI: 10.1016/j.asj.2006.04.001
[15] Hedén P, Boné B, Murphy DK, Slicton A, Walker PS. Style 410 cohesive silicone breast implants: safety and effectiveness at 5 to 9 years after implantation. Plast Reconstr Surg. 2006 Nov;118(6):1281-7. DOI: 10.1097/01.prs.0000239457.17721.5d
[16] Kjøller K, Hölmich LR, Jacobsen PH, Friis S, Fryzek J, McLaughlin JK, Lipworth L, Henriksen TF, Jørgensen S, Bittmann S, Olsen JH. Capsular contracture after cosmetic breast implant surgery in Denmark. Ann Plast Surg. 2001 Oct;47(4):359-66.
[17] Lin W, Chen X, Li B. Reasons for removing mammary prostheses in 27 patients after augmentation mammaplasty. Zhonghua Zheng Xing Shao Shang Wai Ke Za Zhi. 1996 Jul;12(4):260-1.
[18] Mazzocchi M, Alfano C, Fioramonti P, Scuderi N. Changes over time in mammary compliance values after breast augmentation. Aesthetic Plast Surg. 2006 Mar-Apr;30(2):198-205. DOI: 10.1007/s00266-005-0165-2
[19] Morgan E. Capsular contracture. Plast Reconstr Surg. 1983 Feb;71(2):281.
[20] Panettiere P, Marchetti L, Accorsi D. The serial free fat transfer in irradiated prosthetic breast reconstructions. Aesthetic Plast Surg. 2009 Sep;33(5):695-700. DOI: 10.1007/s00266-009-9366-4
[21] Delay E, Garson S, Tousson G, Sinna R. Fat injection to the breast: technique, results, and indications based on 880 procedures over 10 years. Aesthet Surg J. 2009 Sep-Oct;29(5):360-76. DOI: 10.1016/j.asj.2009.08.010
[22] Rigotti G, Marchi A, Stringhini P, Baroni G, Galiè M, Molino AM, Mercanti A, Micciolo R, Sbarbati A. Determining the oncological risk of autologous lipoaspirate grafting for post-mastectomy breast reconstruction. Aesthetic Plast Surg. 2010 Aug;34(4):475-80. DOI: 10.1007/s00266-010-9481-2
[23] Chajchir A. Fat injection: long-term follow-Up. Aesthetic Plast Surg. 1996 Jul-Aug;20(4):291-6.
[24] Bircoll M. Cosmetic breast augmentation utilizing autologous fat and liposuction techniques. Plast Reconstr Surg. 1987 Feb;79(2):267-71.
[25] Coleman SR, Saboeiro AP. Fat grafting to the breast revisited: safety and efficacy. Plast Reconstr Surg. 2007 Mar;119(3):775-85; discussion 786-7. DOI: 10.1097/01.prs.0000252001.59162.c9
[26] Illouz YG, Sterodimas A. Autologous fat transplantation to the breast: a personal technique with 25 years of experience. Aesthetic Plast Surg. 2009 Sep;33(5):706-15. DOI: 10.1007/s00266-009-9377-1
[27] Rennekampff HO, Reimers K, Gabka CJ, Germann G, Giunta RE, Knobloch K, Machens HG, Pallua N, Ueberreiter K, Heimburg Dv, Vogt PM. Möglichkeiten und Grenzen der autologen Fetttransplantation--"Consensus Meeting" der DGPRAC in Hannover, September 2009 [Current perspective and limitations of autologous fat transplantation--"consensus meeting" of the German Society of Plastic, Reconstructive and Aesthetic Surgeons at Hannover; September 2009]. Handchir Mikrochir Plast Chir. 2010 Apr;42(2):137-42. DOI: 10.1055/s-0030-1249672
[28] Neuber G. Über die Wiederanheilung vollständig vom Körper getrennter, die ganze Fettschicht enthaltender Hautstücke. Zentralblatt Chir. 1893;30:16.
[29] Ueberreiter K, von Finckenstein JG, Cromme F, Herold C, Tanzella U, Vogt PM. BEAULI™--eine neue Methode zur einfachen und zuverlässigen Fettzell-Transplantation [BEAULI™--a new and easy method for large-volume fat grafts]. Handchir Mikrochir Plast Chir. 2010 Dec;42(6):379-85. DOI: 10.1055/s-0030-1267913
[30] Khouri R, Del Vecchio D. Breast reconstruction and augmentation using pre-expansion and autologous fat transplantation. Clin Plast Surg. 2009 Apr;36(2):269-80, viii. DOI: 10.1016/j.cps.2008.11.009




