Treatment of scaphoid waist fractures with the HCS screw
Sebastian V. Gehrmann 1Jan-Peter Grassmann 1
Michael Wild 2
Pascal Jungbluth 1
Robert A. Kaufmann 3
Joachim Windolf 1
Mohssen Hakimi 4
1 Department of Trauma and Hand Surgery, Heinrich-Heine University, Duesseldorf, Germany
2 Department of Trauma and Hand Surgery, Klinikum Darmstadt, Gemany
3 Department of Orthopaedic Surgery, University of Pittsburgh Medical Center, Pennsylvania, USA
4 Unfallchirugie, Orthopädie und Handchirurgie, Vivantes Klinikum Am Urban, Berlin, Germany
Abstract
The aim of the study was to evaluate the clinical results of the Headless Compression Screw (HCS, Synthes) when used for treatment of acute scaphoid waist fractures. The new screw design generates interfragmentary compression with use of a compression sleeve. Twenty-one patients were treated for acute scaphoid waist fractures type B2 with HCS screws. The average time to the final follow-up examination was 12.8 months. All 21 fractures united after a mean time of 7.2 weeks. The mean DASH score was 7.1. The average motion of the wrist in extension was 61°, flexion was 46°, radial abduction reached 25° and the ulnar abduction was 31°. The maximally achieved grip strength was 86% compared to the uninjured side. Treatment of type B2 scaphoid fractures with the Headless Compression Screw showed good functional and radiographic results. The results are similar to those identified using other screw fixation systems.
Keywords
scaphoid fracture, screw fixation, percutaneous fixation, HCS screw
Introduction
An accepted management of displaced scaphoid waist fractures is operative screw fixation to decrease the likelihood of mal- or nonunion [1]. Even for non-displaced scaphoid waist fractures a trend towards operative treatment is occurring [2]. In undisplaced scaphoid fractures, however, current evidence does not show long-term advantages of operative treatment over conservative treatment particularly as a high rate of fracture union after conservative treatment with splints has been observed [3], [4], [5], [6]. Treatment failure leading to nonunion require extensive operative measures to avoid substantial joint deterioration. Up to now, autologous bone grafting still seems to be superior to artificial bone cementation despite of associated donor-site morbidity [7]. Though, a benefit of screw fixation for displaced and undisplaced fractures lies with an earlier return to work and sports activity [5]. Acute scaphoid fractures commonly occur in young, working men after falls, especially sport accidents [8]. With an annual incidence of 38 per 100,000 persons [9], [10], scaphoid fractures are frequently observed and represent the majority (79%) of all carpal fractures. A short time of immobilization due to safe fixation techniques would entail a shorter time off work and a subsequent lower socioeconomic impact of this injury.
The continued development of implants for scaphoid fixation has led to a host of different screw systems. The aim of all implants is to provide rigid fragment fixation and to ensure high interfragmentary compression and thus an early return of wrist motion [11]. Differences lie in the screw size and threads as well as cannulated versus non-cannulated methods of insertion. The development of screw fixation systems are primarily enhancements of the Herbert-Whipple screw, which was introduced in 1995 [12]. One of these systems is the cannulated double-threaded Headless Compression Screw (HCS, Synthes, Paoli, USA). The implantation technique exhibits a method to generate interfragmentary compression, wherein during insertion the head of the screw is locked through a compression sleeve. It creates compression across the fracture when the tip of the compression sleeve contacts the scaphoid and the screw is further tightened. The compression sleeve is retracted once the desired interfragmentary compression is reached. The screw head is then fully seated to maintain this desired compression. This technique intends to reduce the risk of the screw cutting through the bone.
There exists few clinical data to support the effectiveness of this method. The use of a compression sleeve with a higher diameter as the diameter of the screw head may also launch problems during the insertion of the screw through a minimal invasive approach. The aim of the study was to evaluate the outcomes of this device when used for treatment of acute scaphoid waist fractures.
Material and methods
We retrospectively reviewed 21 patients that were treated with an HCS screw for acute scaphoid waist fractures (Herbert type B2 [13]). The mean age of 13 male and 8 female patients was 38 years (range 21 to 76). All but one fracture resulted from a fall on an outstreched hand. The diagnosis was obtained by conventional X-ray examinations (p.a., lateral and scaphoid view) and preoperative CT-scans with multiplanar reconstructions when needed.
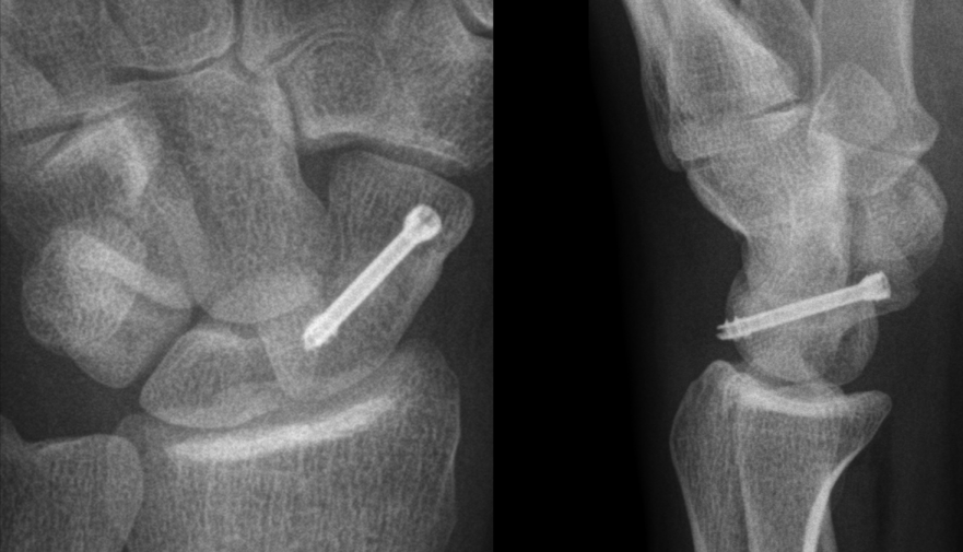
The mean time between trauma and surgery was 10 days. Two cases were treated with an antegrade whereas nineteen with a retrograde approach. For the both methods, a longitudinal incision less than 1 cm was required and reduction aided through the use of a fluoroscope. After blunt dissection was performed to the level of the scaphoid, a guide wire was carefully inserted under fluoroscopic control. The screw length was measured and a cannulated reamer was inserted over the wire. The drilling did not proceed beyond the cortex of the proximal scaphoid pole. The reamer was then removed and a 3.0 mm diameter HCS screw of the appropriate length was inserted. The screw head was still locked by the compression sleeve. When the compression sleeve contacted the proximal pole, the distal thread of the screw engaged the proximal scaphoid fragment and compressed the proximal and distal fragments. The compression sleeve was then retracted and the head of the screw securely seated. The screw position was verified through fluoroscopic methods (Figure 1 [Fig. 1]). A short-arm thumb-spica cast was applied postoperatively allowing unrestricted thumb interphalangeal motion while maintaining the wrist in slight extension. Cast immobilisation was discontinued after 14 days and converted to a removeable splint. Active range-of-motion exercises were encouraged at 6 weeks. Full weight-bearing was allowed after 12 weeks.
Figure 1: A.p. and lateral radiographs after insertion of the Headless Compression Screw
Regular X-ray examinations were performed until the fractures united and were reviewed by experienced musculoskeletal radiologists. Union was defined as cross trabeculation detected on all obtained radiographic views. The injured and uninjured wrists were examined for range of motion and grip strength during post-operative follow up visits. At the final examination, we assessed the subjective outcome through use of the Disabilities of Arm and Shoulder (DASH) questionnaire.
Results
The average time to the final follow-up examination was 12.8 months (range 4–37 months). All 21 fractures united after a mean time of 7.2 weeks. Postoperative complications such as wound infections, hardware failure or loosening, malunions or avascular necrosis were not observed. Radiographic evidence of scapholunate instability or osteoarthritis at the site of screw insertion were equally absent.
The mean screw length chosen for scaphoid fracture fixation was 22 ±1.8 mm and a diameter of 3 mm. In 19 of 21 patients the fracture was bridged by the screw with an optimal subcortical screw position. There were no problems noted during the insertion of the screws, especially problems related to the higher diameter of the compression sleeve.
In two cases the screw protruded the proximal scaphoid pole which required screw removal after fracture union. In both cases, the screw was inserted in a retrograde manner and penetrated the dorsal cortex of the scaphoid (Figure 2 [Fig. 2]).
Figure 2: In this case, the screw tip was directed to the dorsal aspect of the scaphoid and protruded the cortical surface after compression of the fracture zone.
Nineteen patients were satisfied or very satisfied with the postoperative result, two patients were moderately satisfied. None of the patients had pain at rest. The two cases with the cortical perforation of the scaphoid were also satisfied after screw removal. Two different patients reported pain during activities of daily living and experienced occasional pain during forceful wrist motion. At the final examination, the mean DASH score was 7.1 (range 0–30). The average motion of the wrist in extension was 61° (95% compared to the uninjured side), flexion was 46° (87%), radial abduction reached 25° (80%) and the ulnar abduction 31° (90%). The maximally achieved grip strength was 86% compared to the uninjured side.
Discussion
In this study, open reduction and internal fixation of acute unstable and/or dislocated transverse scaphoid waist fractures with the HCS led to good functional and radiographic results. The implant provided rigid fragment fixation which led to bony consolidation in all cases. At the final follow-up examination, a low DASH score was accompanied by encouraging motion and grip strength when compared to the uninjured side (88% vs. 86%).
Our results using the HCS implant are similar to those identified using other screw fixation systems. Bony healing was established in 29 of 30 scaphoid fractures treated with Acutrak screws with a mean time to consolidation of 9 weeks [5]. The grip strength and motion recovered almost fully after one year status post surgery.
Similar results with fracture healing at 10 weeks were found in 23 of 25 scaphoid fractures treated with Acutrak screws. In one case a non-union was found. Motion and grip strength at the final follow-up examination were 94% and 88%, of the contra-lateral side respectively [14].
Slade et al. observed good functional and radiographic results after antegrade insertion of Acutrak screws [15]. Nonunions in 27 patients were not observed and the time to consolidation was 12 weeks. The authors found a more rapid consolidation (8 weeks) when the time between injury and operation was less than one month.
Eleven patients with acute, nondisplaced fractures of the scaphoid were treated with retrograd inserted Acutrak screws [3]. A consolidation was observed after 7 weeks. Two years after surgery, the motion in flexion/extension was 93%, grip strength was 95% compared to the uninjured side. All fractures united.
Inoue and Shionoya examined 22 patients treated with the Herbert screw [16]. After 6.5 weeks, all fractures were radiographically healed.
In a series of 23 patients treated with a Herbert screw (Zimmer Inc., Warsaw, USA), union occurred in all cases. The functional deficit was small with 92% of flexion, 96% of extension and 100% of grip strength being restored. In one case, the screw perforated the scaphoid proximal pole, which was resolved through screw removal [17]. The authors indicated that measuring the time until complete bony union is difficult as, in the majority of the cases, the fracture gap is difficult to detect after interfragmentary compression [17].
Despite the apparently superior results obtained through headless screw fixation of scaphoid fractures, complications do occur in operatively treated fractures. Complication rates up to 29% were described, including chronic regional pain syndrome, tendon ruptures and malunions [18], [19], [20] [21]. In our study, none of these were noted. However, two cases in our series showed an inaccurate position of the implant which necessitated a removal of the implants. During screw insertion, the choice of the correct screw length is essential for maximizing fracture stability. Biomechanical analysis demonstrated greatest construct integrity when the screw was placed in a subchondral location [22]. When the screw length is measured before fracture compression, a mild collapse at the fracture site may ensue which can contribute to the screw perforation as was seen with us.
Limited information exists regarding the long-term effects after screw implantation. Scapho-trapezio-trapezoid arthritis and implant loosening may occur. Despite excellent functional outcomes observed in scaphoid fractures treated with Herbert screws 10 years status post surgery with a very low DASH score of 3, CT scans revealed scaphoid cystic changes around the titanium screws in 11 of 40 patients [23]. The screws penetrated the cortical surfaces in 14 patients with arthritic changes in the STT-joint identified in 11 patients. The motion deficit was only minor with 7% in flexion, less than 2% in extension and a grip strength deficit of 2%.
The compressive effects and the stress resistance of different screw designs have been subjected to several biomechanical investigations. Beadel et al. found higher interfragmentary compression forces in Acutrak Standard screws when compared to Acutrak Mini and Bold screws [24]. Adla et al. found no significant differences between the compressive effects between the Herbert-Whipple screw and the Acutrak Mini screws [25]. Pensy et al. compared HCS and Acutrak Standard screws in biomechanical testing [26]. There were no significant differences in peak torque, compression immediately after insertion and 5 minutes after insertion.
A limitation of our study is the measurement of time to bony consolidation. The imaging technique itself may be fraught with error, as bone healing of this region could not be definitely identified by conventional radiographic imaging [27]. A verification of union with conventional X-ray examinations is prone to error and may have benefited from CT scan fracture union confirmation.
Conclusion
Treatment of type B2 scaphoid fractures with the Headless Compression Screw showed good functional and radiographic results. The interfragmentary compression can be efficiently controlled with a compression sleeve without reducing the ease of insertion. Although subchondral position of the screw is advantageous, care must be given to prevent cortical penetration by the screw as this mandates subsequent screw removal.
Notes
Competing interests
The authors declare that they have no competing interests.
References
[1] Grewal R, King GJ. An evidence-based approach to the management of acute scaphoid fractures. J Hand Surg Am. 2009 Apr;34(4):732-4. DOI: 10.1016/j.jhsa.2008.12.027[2] Ram AN, Chung KC. Evidence-based management of acute nondisplaced scaphoid waist fractures. J Hand Surg Am. 2009 Apr;34(4):735-8. DOI: 10.1016/j.jhsa.2008.12.028
[3] Bond CD, Shin AY, McBride MT, Dao KD. Percutaneous screw fixation or cast immobilization for nondisplaced scaphoid fractures. J Bone Joint Surg Am. 2001 Apr;83-A(4):483-8.
[4] Dias JJ, Wildin CJ, Bhowal B, Thompson JR. Should acute scaphoid fractures be fixed? A randomized controlled trial. J Bone Joint Surg Am. 2005 Oct;87(10):2160-8. DOI: 10.2106/JBJS.D.02305
[5] McQueen MM, Gelbke MK, Wakefield A, Will EM, Gaebler C. Percutaneous screw fixation versus conservative treatment for fractures of the waist of the scaphoid: a prospective randomised study. J Bone Joint Surg Br. 2008 Jan;90(1):66-71. DOI: 10.1302/0301-620X.90B1.19767
[6] Cooney WP, Dobyns JH, Linscheid RL. Fractures of the scaphoid: a rational approach to management. Clin Orthop Relat Res. 1980 Jun;(149):90-7.
[7] Jungbluth P, Hakimi M, Grassmann JP, Schneppendahl J, Kessner A, Sager M, Hakimi AR, Becker J, Windolf J, Wild M. The progress of early phase bone healing using porous granules produced from calcium phosphate cement. Eur J Med Res. 2010 May;15(5):196-203.
[8] Leslie IJ, Dickson RA. The fractured carpal scaphoid. Natural history and factors influencing outcome. J Bone Joint Surg Br. 1981 Aug;63-B(2):225-30.
[9] Garcia-Elias M, Cooney WP, An KN, Linscheid RL, Chao EY. Wrist kinematics after limited intercarpal arthrodesis. J Hand Surg Am. 1989 Sep;14(5):791-9. DOI: 10.1016/S0363-5023(89)80077-2
[10] Brøndum V, Larsen CF, Skov O. Fracture of the carpal scaphoid: frequency and distribution in a well-defined population. Eur J Radiol. 1992 Sep;15(2):118-22. DOI: 10.1016/0720-048X(92)90135-V
[11] Lewallen DG, Chao EY, Kasman RA, Kelly PJ. Comparison of the effects of compression plates and external fixators on early bone-healing. J Bone Joint Surg Am. 1984 Sep;66(7):1084-91.
[12] Whipple TL. Stabilization of the fractured scaphoid under arthroscopic control. Orthop Clin North Am. 1995 Oct;26(4):749-54.
[13] Herbert TJ, Fisher WE. Management of the fractured scaphoid using a new bone screw. J Bone Joint Surg Br. 1984 Jan;66(1):114-23.
[14] Adolfsson L, Lindau T, Arner M. Acutrak screw fixation versus cast immobilisation for undisplaced scaphoid waist fractures. J Hand Surg Br. 2001 Jun;26(3):192-5. DOI: 10.1054/jhsb.2001.0558
[15] Slade JF 3rd, Gutow AP, Geissler WB. Percutaneous internal fixation of scaphoid fractures via an arthroscopically assisted dorsal approach. J Bone Joint Surg Am. 2002;84-A Suppl 2:21-36.
[16] Inoue G, Shionoya K. Herbert screw fixation by limited access for acute fractures of the scaphoid. J Bone Joint Surg Br. 1997 May;79(3):418-21. DOI: 10.1302/0301-620X.79B3.7254
[17] Ledoux P, Chahidi N, Moermans JP, Kinnen L. Ostéosynthèse percutanée du scaphoïde par vis de Herbert [Percutaneous Herbert screw osteosynthesis of the scaphoid bone]. Acta Orthop Belg. 1995;61(1):43-7.
[18] Arora R, Gschwentner M, Krappinger D, Lutz M, Blauth M, Gabl M. Fixation of nondisplaced scaphoid fractures: making treatment cost effective. Prospective controlled trial. Arch Orthop Trauma Surg. 2007 Jan;127(1):39-46. DOI: 10.1007/s00402-006-0229-z
[19] Bushnell BD, McWilliams AD, Messer TM. Complications in dorsal percutaneous cannulated screw fixation of nondisplaced scaphoid waist fractures. J Hand Surg Am. 2007 Jul-Aug;32(6):827-33. DOI: 10.1016/j.jhsa.2007.04.003
[20] Slade JF 3rd, Taksali S, Safanda J. Combined fractures of the scaphoid and distal radius: a revised treatment rationale using percutaneous and arthroscopic techniques. Hand Clin. 2005 Aug;21(3):427-41. DOI: 10.1016/j.hcl.2005.03.004
[21] Weinberg AM, Pichler W, Grechenig S, Tesch NP, Heidari N, Grechenig W. The percutaneous antegrade scaphoid fracture fixation--a safe method? Injury. 2009 Jun;40(6):642-4. DOI: 10.1016/j.injury.2008.12.016
[22] Dodds SD, Panjabi MM, Slade JF 3rd. Screw fixation of scaphoid fractures: a biomechanical assessment of screw length and screw augmentation. J Hand Surg Am. 2006 Mar;31(3):405-13. DOI: 10.1016/j.jhsa.2005.09.014
[23] Vinnars B, Pietreanu M, Bodestedt A, Ekenstam Fa, Gerdin B. Nonoperative compared with operative treatment of acute scaphoid fractures. A randomized clinical trial. J Bone Joint Surg Am. 2008 Jun;90(6):1176-85. DOI: 10.2106/JBJS.G.00673
[24] Beadel GP, Ferreira L, Johnson JA, King GJ. Interfragmentary compression across a simulated scaphoid fracture--analysis of 3 screws. J Hand Surg Am. 2004 Mar;29(2):273-8. DOI: 10.1016/j.jhsa.2003.12.006
[25] Adla DN, Kitsis C, Miles AW. Compression forces generated by Mini bone screws--a comparative study done on bone model. Injury. 2005 Jan;36(1):65-70. DOI: 10.1016/j.injury.2004.03.026
[26] Pensy RA, Richards AM, Belkoff SM, Mentzer K, Andrew Eglseder W. Biomechanical comparison of two headless compression screws for scaphoid fixation. J Surg Orthop Adv. 2009;18(4):182-8.
[27] Krummenauer F. The comparison of clinical imaging devices with respect to parallel readings in both devices. Eur J Med Res. 2006 Mar;11(3):119-22.



