Subperiosteal preparation using a new piezoelectric device: a histological examination
Marcus Stoetzer 1Anja Magel 1
Andreas Kampmann 1
Juliana Lemound 1
Nils-Claudius Gellrich 1
Constantin von See 2
1 Department of Oral and Maxillofacial Surgery, Hannover Medical School, Hannover, Germany
2 Department of Oral Surgery, Danube Private University, Krems, Austria
Abstract
Introduction: Subperiosteal preparation using a periosteal elevator leads to disturbances of local immunohistochemistry and periosteal histology due to a microtrauma. Usually soft-tissue damage can be considerably reduced by using piezoelectric technology. For this reason, the effects of a novel piezoelectric device on immunohistochemistry and periosteal histology were examined and compared to conventional preparation of the periosteum using a periosteal elevator.
Material and methods: Lewis rats were randomly assigned to one of five groups (n=50). Subperiosteal preparation was performed using either a piezoelectric device or a periosteal elevator. Immunohistochemical and histological analyses were performed immediately after preparation as well as three and eight days postoperatively. A statistical analysis of the histological colouring was performed offline using analysis of variance (ANOVA) on ranks (p<0.05).
Results: At all times, immunohistochemical and histological analysis demonstrated a significantly more homogenous tissue structure in the group of rats that underwent piezosurgery than in the group of rats that underwent treatment with a periosteal elevator.
Conclusion: The use of a piezoelectric device for subperiosteal preparation is associated with more harmonious immunohistochemical and histological results for the periosteum than the use of a conventional periosteal elevator. As a result, piezoelectric devices can be expected to have a positive effect primarily on soft tissue, in particular of the periosteal as well as on surrounding tissues.
Keywords
piezoelectric device, histological examination, subperiosteal preparation
Introduction
The periosteum consists of highly specific cells. They are similar to those of the endosteum and are composed of mesenchymal stem cells, osteoprogenitor cells, active and resting osteoblasts, and/or active and resting osteoclasts.
These are found not only in children but also in adults and allow bones to remodel themselves over time, for example during bone fracture healing ([1], p. 202). The periosteum is closely attached to bone by collagen fibers in the bone matrix and by hemidesmosomes. Surgical procedures, especially those involving bone directly, often have adverse effects on the periosteum. Periosteal damage can either be caused by the deliberate separation of the periosteum from the bone during surgery or it can be the result of disease or trauma.
The preparation of the periosteum is a routine procedure in trauma surgery, reconstructive surgery, and dentoalveolar surgery in particular ([2], p. 323 ff), [3], [4], [5].
It is commonly performed by using a surgical elevator. Periosteal elevators, which are slightly narrower and sharper than surgical elevators, are also widely used. Both instruments are used for manual lifting and separating periosteal tissue from the bone. This procedure causes damage to the cells of the osteogenic layer. It is currently impossible for surgeons to prepare the periosteum in such a way that it remains intact. The preparation instruments do not detach the periosteum as a whole from the bone but they disrupt its integrity, mainly by tearing it. Such procedures damage important regenerative cells of the periosteum, which are thus no longer available to provide nourishment to the bone they cover. In order to reduce these microtraumata different approaches have been tried [6].
Successful osseoinduction and osseoconduction, however, require the preservation of cell vitality in the periosteum, especially if the bone has been reconstructed using augmentation procedures. Periosteal cells provide nutrition for bone grafts. Nourishment through the osseous base hardly ever occurs.
A new method for preparing a mucoperiosteal flap involves the use of piezoelectric devices [7]. Whereas ultrasonic instruments have been available since 1988, devices utilizing the piezoelectric effect have been used for medical purposes only since 1998. Applications of piezoelectric devices include hard-tissue surgery, periodontal surgery, the removal of impacted teeth, apical surgery [8], [9], and bone expansion [10], [11].
Damage of soft tissues (e.g. nerves) surrounding bone is caused only at frequencies above 50 kHz [12], [13]. The most important difference between piezoelectric devices and conventional preparation instruments is that piezoelectric devices operate in a tissue-specific manner. Each tissue has a specific frequency range at which it can be cut. Therefore, a piezoelectric device can cut a specific type of tissue without causing damage to adjacent tissues. In addition, piezoelectric devices have the advantage of causing minimal bleeding when they are used to cut bone. This reduces the risk of postoperative infections.
Adequate functioning of the periosteum is of far greater importance to patients who have underlying diseases such as diabetes mellitus or who are undergoing tumor treatment and receiving chemotherapeutic agents than it is to healthy people since the periosteum plays an important role in promoting rapid bone healing. A significant number of systemic comorbidities result in limited cell regeneration rates (bisphosphonates, for example, restrict osteoclast activity considerably). Every surgical intervention requires sufficient and regular wound healing to ensure that the outcome of surgery will be stable in the long term and satisfy expectations. If these patients undergo surgery involving bone, special care must be taken to cause no damage or as little damage as possible to the periosteum during preparation with a view to ensure subsequent bone healing without dehiscences or necrosis. During bone augmentation procedures, the periosteum is also of main importance for the formation of new bone [14], [15]. Immunohistochemical and histological analyses will be used to examine the extent to which the various instruments for subperiosteal preparation have an impact on cells within the periosteum.
Material and methods
Laboratory animals
All procedures were performed in accordance with the German Animal Protection Act and the Guide for the Care and Use of Laboratory Animals [16]. They were approved by the responsible authority beforehand (Ref. 12/0861). The study included 50 adult female Lewis rats with a body weight between 300 g and 330 g (Harlan-Winkelmann, Borchen, Germany). The rats were housed solitary in cages at a room temperature of 22–24°C, a relative humidity of 60–65%, and a 12-hour day/night cycle. They received water and dry food (Altromin, Lage, Germany) ad libitum during the entire examination.
Study design and experimental groups
Analyses of immunohistochemical and histological sections were made after the animals had been killed. The experiments were performed on the basis of a model established by Stuehmer et al. [17].
The rats (n=50) were divided into five experimental groups.
- Group 1 (n=10): control group
- Group 2 (n=10): subperiosteal preparation with a piezoelectric device, immunohistochemistry, histology after 3 days post op
- Group 3 (n=10): subperiosteal preparation with a periostal elevator, immunohistochemistry, histology after 3 days post op
- Group 4 (n=10): subperiosteal preparation with a piezoelectric device, immunohistochemistry, histology after 8 days post op
- Group 5 (n=10): subperiosteal preparation with a periostal elevator, immunohistochemistry, histology after 8 days post op
Procedures
The animals were anesthetized using an intraperitoneal injection of ketamine (Ketavet®, 75 mg per kg bodyweight, Parke-Davis, Germany) and xylazine (Rompun®, 25 mg per kg bodyweight, Bayer HealthCare, Germany). A surgical blade was used to make an incision through the skin and periosteum in the occipital region in order to expose the calvaria. Depending on the group, either a periostal elevator or a piezoelectric device was used. The skin was then repositioned and secured in place with sutures (Ethicon Vicryl® sutures 4-0, Johnson & Johnson, Germany). After a healing period of 3 days, the animals in groups 2 and 3 were killed by an overdose of anesthetic. The previously operated areas were removed and prepared for the histological and immunohistochemical examination. This procedure was repeated after 8 days for groups 4 and 5.
Histology and immunohistochemistry
For light microscopy, formalin-fixed specimens were embedded in paraffin. 5 µm thick sections were cut and stained with hematoxylin and eosin (H&E) according to standard procedures and examined by light microscopy (DM4000B Leica Mikrosysteme, Wetzlar, Germany).
For the immunohistochemical analysis, formalin-fixed specimens were embedded in paraffin and cut into 5 µm thick sections. The following antibodies were used as primary antibodies: rabbit anti-collagen type I (1:800, BIOLOGO, Kronshagen, Germany), rabbit anti-collagen type IV (1:400, Acris Antibodies GmbH, Hiddenhausen, Germany), mouse anti-osteocalcin (1:200, QED Bioscience Inc., San Diego, USA) and mouse anti-SPARC (1:200, Santa Cruz Biotechnology, Santa Cruz, USA). A biotin-conjugated goat anti-rabbit antibody (1:600, Dianova, Hamburg, Germany) or a biotin-conjugated goat anti-mouse antibody (1:200, Dianova, Hamburg, Germany) served as secondary antibodies. Incubation with streptavidin-horseradish peroxidase (Dianova, Hamburg, Germany) was followed by color development with aminoethylcarbazole (AEC) substrate (Axxora Deutschland GmbH, Loerrach, Germany) at room temperature. Color development was stopped under microscopic examination by washing with water. The sections were counterstained with hemalaun (Merck, Darmstadt, Germany) and examined by light microscopy (DM4000B Leica Mikrosysteme, Wetzlar, Germany).
Statistical analysis
Normal distribution and homogeneity of variance were assessed. Results are expressed as means and standard errors of measurement (SEM). Differences between groups were evaluated with a one-way analysis of variance (ANOVA) on ranks. Differences within groups were also analyzed by ANOVA. Student-Newman-Keuls or Duncan post-hoc tests were used to isolate specific differences. A p-value <0.05 was considered significant. Data was collected using Microsoft Office Excel 2007. The data was then processed statistically using IBM SPSS (Statistics 21, IBM Deutschland GmbH).
Histological evaluation
The histological evaluation was performed with a computer program (ANAlysis, Soft Imaging System GmbH, Mu¨nster, Germany) and the Leica DM4000 B optical microscope (Leica Camera AG, Solms, Germany).
An H&E stain was used to examine the periosteum-bone interface. For the immunohistochemical evaluation, the specimens were stained and analyzed for collagen I and IV and osteocalcin. The groups of rats operated with the new piezoelectric device were compared to the groups operated with the periosteal elevator.
10 histological cuts were made from the area of the lesion per animal altogether. The qualitative assessment of the periosteum changes was carried out. A field of interest was then put in the picture which covered the area of bone and periosteum. A descriptive description was carried out and the colored areas were examined with the help of the program analysis (soft Imaging system GmbH, Münster, Germany) and the light microscope Leica DM_4000 B (Leica Camera AG, Solms, Germany).
Results
The light-microscopic examination of the H&E-stained specimens revealed varying degrees of bone change both in terms of morphology and histomorphology.
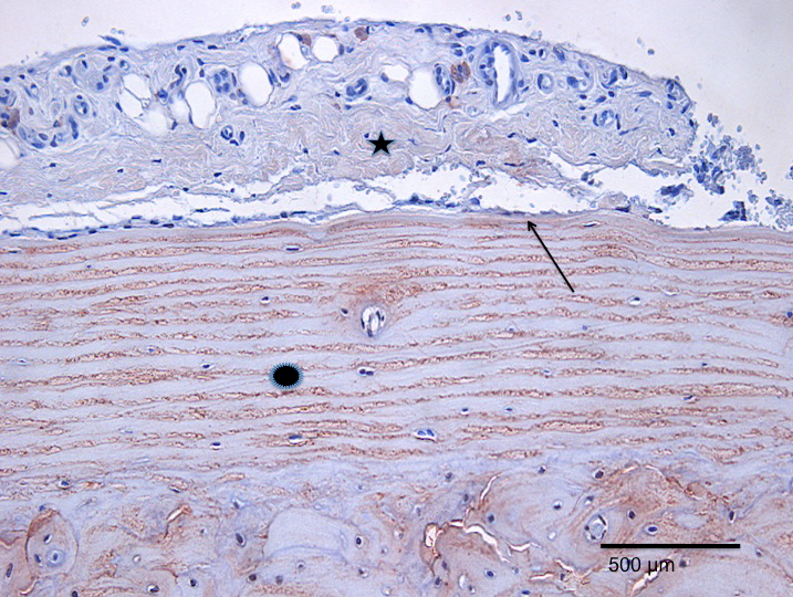
Significant differences in the quality of the periosteum-bone interface were identified between the groups with subperiosteal preparation using a piezoelectric device and the groups with subperiosteal preparation using a conventional periosteal elevator. In case of subperiosteal preparation using the new piezoelectric device the surface of the bone appears smooth without notches or mechanical effects. The individual histological layers of the periosteum have a clear structure. The outer fibrous layer and the inner cambium layer are clearly discernible. Fat vacuoles and collagenous connective tissue can also be seen. In the group with subperiosteal preparation using a conventional periosteal elevator the surface of the bone is clearly affected. Notches can be seen that were caused by the periosteal elevator (Figure 1 [Fig. 1]). The side of the periosteum facing the bone is torn and a clear separation between the individual layers is not evident. This could not be seen in the group operated with the piezoelectric device (Figure 2 [Fig. 2]).
Figure 1: Histological image after subperiosteal preparation with a periosteal elevator. The star present the periosteal, the gear wheel the bone. The tip of the arrow shows the boundary surface between bone and periosteal.
Figure 2: Histological image after subperiosteal preparation with the new piezoelectric device. The star present the periosteal, the gear wheel the bone. The tip of the arrow shows the boundary surface between bone and periosteal.
While the proportion of collagen I was almost identical in both groups on day 3, differences were observed after the eighths day. There was significantly more collagen I in the piezoelectric-device group than in the periosteal elevator group (Figure 3 [Fig. 3]). An analysis of osteocalcin showed that the increase in osteocalcin over the 8-day period was significantly steeper in the piezoelectric-device group compared to the periosteal elevator group (Figure 4 [Fig. 4]).
Figure 3: Collagen I levels at different times after subperiosteal preparation with a periostal elevator and with the piezoelectric device. Outliers that are more than 1.5 times the length of the box below the 25th percentile or above the 75th percentile are represented as circles and outliers that are more than 3 times the length of the box below the 25th percentile or above the 75th percentile are represented as asterisks.
Figure 4: Osteocalcin levels at different times after subperiosteal preparation with a periostal elevator and with the piezoelectric device
After the first surgical intervention, the collagen IV level in the piezoelectric-device group was similar to that in the periosteal elevator group but significantly (six times) higher than in the control group. After eight days, the proportion of collagen IV in the piezoelectric-device group had returned to approximately the level of the control group. In the periosteal elevator group, the proportion of collagen IV remained at a significantly high level (five times higher, Figure 5 [Fig. 5]).
Figure 5: Collagen IV levels at different times after subperiosteal preparation with a periostal elevator and with the piezoelectric device
Discussion
In the study presented here, a novel device for the preparation of the periosteum was compared to a conventional periosteal elevator in an animal model. The method of examination chosen has been established by the work of Stuehmer et al. and can be applied to the study [17]. The existing method was enlarged, though. The focus of this study was on the interface bone-/periosteum.
The histological examination of tissue for traumatization and the immunohistochemical staining of specimens are common methods for tissue analysis [18]. Histological and immunohistochemical examinations of operated specimens were conducted and analyzed to investigate whether a piezoelectric device used for subperiosteal preparation of bone causes less irritation to the periosteum than a conventional periosteal elevator. This examination method represents an indirect examination method and is feasible only at predefined times. Consequently, a longitudinal examination or repetitive examinations are not practicable. Therefore, the results of cure events have to be judged only under reservation. Due to the high specificity and comparatively technical difficult examination of the periosteum, this method is, however, aim leading and sensible at this scientific question.
The results show that the use of a piezoelectric device for the preparation of the periosteum was associated with significant differences in the two investigation groups. Consequently, less traumatization in the periosteum after preparation using the piezoelectric device than the conventional method with a periosteal elevator is a presumably origin. One possible explanation is that the use of a piezoelectric device allows the selective and atraumatic separation of the periosteum from the bone. Several studies have reported that piezoelectric devices are atraumatic [13]. The significance of the periosteum, and thus the practical significance of the results, are seen in the healing of bone fractures, as the periosteum makes an important contribution to the healing of complex bone fractures [19], [20]. Periosteal cells have been found to be responsible for the generation of important structures. The activation of periosteal progenitor cells causes robust chondrogenesis, osteogenesis and angiogenesis, which ultimately leads to vascularization and bone remodeling during bone fracture healing or after bone grafts [21], [22]. The less injured the periosteum is, the larger the periosteal reaction is [23]. Against this background, piezosurgery is a logical choice as it preserves the periosteal reaction.
Several studies have already shown that piezosurgery is an atraumatic method of cutting tissue [24]. These findings have influenced this study and have resulted in the development of this new instrument.
In the future, this instrument may provide the key to healing medically compromised patients as piezosurgery helps to preserve the cambium layer of the periosteum. The clinical implications are yet unclear and further examinations are necessary to analyze this effect.
The results presented here clearly illustrate the advantage of subperiosteal preparation with the piezoelectric device in healthy individuals. Further studies are required to investigate the use of this procedure on patients who have comorbidities and, for example, are being treated with bisphosphonates, chemotherapeutic agents, or other medications. The author is certain, however, that subperiosteal preparation using a piezoelectric device will have advantages for these patients as well.
Notes
Competing interests
The authors declare that they have no competing interests.
References
[1] Junqueira LC, Carneiro J. Knochen und Knochenverbindungen. In: Histologie. Zytologie, Histologie und mikroskopische Anatomie des Menschen. Unter Berücksichtigung der Histophysiologie. Berlin, Heidelberg: Springer; 1996. p. 190-217 (Springer-Lehrbuch). DOI: 10.1007/978-3-662-07780-1_11[2] Flores-de-Jacoby L. Kiefernorthopädie – Parodontologie. In: Schwenzer N, ed. Zahn-, Mund- und Kieferheilkunde. Bd. 5. Stuttgart, New York: Thieme; 1987.
[3] Harrison JW, Jurosky KA. Wound healing in the tissues of the periodontium following periradicular surgery. 2. The dissectional wound. J Endod. 1991 Nov;17(11):544-52. DOI: 10.1016/S0099-2399(06)81720-6
[4] Kramper BJ, Kaminski EJ, Osetek EM, Heuer MA. A comparative study of the wound healing of three types of flap design used in periapical surgery. J Endod. 1984 Jan;10(1):17-25. DOI: 10.1016/S0099-2399(84)80248-4
[5] Eicker LA, Schlegel M. Die Wurzelspitzenresektion – verschiedene Techniken der Schnittführung. Quintessenz. 2000;51(5):453-8.
[6] Rana M, von See C, Rücker M, Schumann P, Essig H, Kokemüller H, Lindhorst D, Gellrich NC. Increase in periosteal angiogenesis through heat shock conditioning. Head Face Med. 2011 Nov 18;7:22. DOI: 10.1186/1746-160X-7-22
[7] Stoetzer M, Felgenträger D, Kampmann A, Schumann P, Rücker M, Gellrich NC, von See C. Effects of a new piezoelectric device on periosteal microcirculation after subperiosteal preparation. Microvasc Res. 2014 Jul;94:114-8. DOI: 10.1016/j.mvr.2014.06.003
[8] Vercellotti T. Technological characteristics and clinical indications of piezoelectric bone surgery. Minerva Stomatol. 2004 May;53(5):207-14.
[9] Vercellotti T, De Paoli S, Nevins M. The piezoelectric bony window osteotomy and sinus membrane elevation: introduction of a new technique for simplification of the sinus augmentation procedure. Int J Periodontics Restorative Dent. 2001 Dec;21(6):561-7.
[10] Metzger MC, Bormann KH, Schoen R, Gellrich NC, Schmelzeisen R. Inferior alveolar nerve transposition – an in vitro comparison between piezosurgery and conventional bur use. J Oral Implantol. 2006;32(1):19-25. DOI: 10.1563/1548-1336(2006)32[19:IANTIV]2.0.CO;2
[11] Schlee M, Steigmann M, Bratu E, Garg AK. Piezosurgery: basics and possibilities. Implant Dent. 2006 Dec;15(4):334-40. DOI: 10.1097/01.id.0000247859.86693.ef
[12] Vercellotti T. Piezoelectric surgery in implantology: a case report – a new piezoelectric ridge expansion technique. Int J Periodontics Restorative Dent. 2000 Aug;20(4):358-65.
[13] von See C, Gellrich NC, Rücker M, Kokemüller H, Kober H, Stöver E. Investigation of perfusion in osseous vessels in close vicinity to piezo-electric bone cutting. Br J Oral Maxillofac Surg. 2012 Apr;50(3):251-5. DOI: 10.1016/j.bjoms.2011.04.069
[14] Glickman I, Smulow JB, Moreau J. Postsurgical periodontal healing in alloxan diabetes. J Periodontol. 1967 Mar-Apr;38(2):93-9.
[15] Retzepi M, Lewis MP, Donos N. Effect of diabetes and metabolic control on de novo bone formation following guided bone regeneration. Clin Oral Implants Res. 2010 Jan;21(1):71-9. DOI: 10.1111/j.1600-0501.2009.01805.x
[16] National Research Council. Guide for the Care and Use of Laboratory Animals. Eighth Edition. Washington D.C.: National Academy Press; 2011.
[17] Stuehmer C, Schumann P, Bormann KH, Laschke MW, Menger MD, Gellrich NC, Rücker M. A new model for chronic in vivo analysis of the periosteal microcirculation. Microvasc Res. 2009 Mar;77(2):104-8. DOI: 10.1016/j.mvr.2008.09.008
[18] Barbour TD, Briggs CA, Bell SN, Bradshaw CJ, Venter DJ, Brukner PD. Histology of the fascial-periosteal interface in lower limb chronic deep posterior compartment syndrome. Br J Sports Med. 2004 Dec;38(6):709-17. DOI: 10.1136/bjsm.2003.007039
[19] Colnot C, Thompson Z, Miclau T, Werb Z, Helms JA. Altered fracture repair in the absence of MMP9. Development. 2003 Sep;130(17):4123-33. DOI: 10.1242/dev.00559
[20] Lu C, Miclau T, Hu D, Hansen E, Tsui K, Puttlitz C, Marcucio RS. Cellular basis for age-related changes in fracture repair. J Orthop Res. 2005 Nov;23(6):1300-7. DOI: 10.1016/j.orthres.2005.04.003.1100230610
[21] Zhang X, Xie C, Lin AS, Ito H, Awad H, Lieberman JR, Rubery PT, Schwarz EM, O’Keefe RJ, Guldberg RE. Periosteal progenitor cell fate in segmental cortical bone graft transplantations: implications for functional tissue engineering. J Bone Miner Res. 2005 Dec;20(12):2124-37. DOI: 10.1359/JBMR.050806
[22] Colnot C, Zhang X, Knothe Tate ML. Current insights on the regenerative potential of the periosteum: molecular, cellular, and endogenous engineering approaches. J Orthop Res. 2012 Dec;30(12):1869-78. DOI: 10.1002/jor.22181
[23] Thompson Z, Miclau T, Hu D, Helms JA. A model for intramembranous ossification during fracture healing. J Orthop Res. 2002 Sep;20(5):1091-8. DOI: 10.1016/S0736-0266(02)00017-7
[24] Gülnahar Y, Hüseyin Köşger H, Tutar Y. A comparison of piezosurgery and conventional surgery by heat shock protein 70 expression. Int J Oral Maxillofac Surg. 2013 Apr;42(4):508-10. DOI: 10.1016/j.ijom.2012.10.027



