Unilateral, recurrent exudative retinal detachment in association with pansinusitis
Ali Osman Saatci 1Zeynep Ozbek Soylemezoglu 1
Ozlem Barut Selver 2
M. Cenk Ecevit 3
Emel Ada 4
1 Dokuz Eylul University, Department of Ophthalmology, Izmir, Turkey
2 Buca Seyfi Demirsoy State Hospital, Department of Ophthalmology, Izmir, Turkey
3 Dokuz Eylul University, Department of Otorhinolaryngology, Izmir, Turkey
4 Dokuz Eylul University, Department of Radiology, Izmir, Turkey
Abstract
Aim: To report a patient with unilateral exudative retinal detachment due to pansinusitis.
Methods: Case report.
Results: A 65-year-old woman with a two-month history of blurred vision, red eye and lid swelling in her left eye was referred to us. Her best-corrected visual acuity was 20/20 in the right eye and 20/200 in the left. Conjunctival vessels were engorged in the OS. Funduscopy revealed a 360° exudative detachment in OS and computerized tomography (CT) imaging revealed pansinusitis. Systemic antibiotic treatment was employed and exudative detachment regressed. However, exudative detachment remitted as soon as antibiotic treatment ceased. Finally she underwent sinus surgery and decompression of the orbita. Her visual acuity improved to 20/100 just two days after the surgery, stabilized at 20/30 and no further recurrences occured during the follow-up of 10 months.
Conclusion: Since exudative retinal detachment usually accompanies systemic inflammatory or neoplastic diseases, systemic screening and collaboration with other disciplines are mandatory. To the best of our knowledge, this is the first report of a case that developed exudative retinal detachment due to pansinusitis and only recovered after decompression surgery.
Keywords
exudative retinal detachment, pansinusitis, sinus surgery
Introduction
Choroidal vascular permeability and RPE dysfunction due to inflammatory, vascular, degenerative processes are the major pathological conditions that may lead to exudative retinal detachment. There is a water flow balance between vitreous cavity and choroid. Retinal pigment epithelium (RPE) has an active role on this balance by pumping water and ions into the choroid from the vitreous. When this balance is impaired due to several reasons, fluid accumulates in the subretinal space and exudative retinal detachment ensues [1], [2], [3]. We hereby report a case with unilateral recurrent exudative retinal detachment as a consequence of sinusitis.
Case presentation
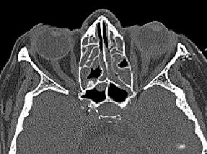
A 65-year-old woman with a two-month history of blurred vision, red eye and lid swelling in her left eye was referred to us. She was diagnosed to have exudative retinal detachment elsewhere and no clinical response could be achieved with prior systemic steroids. Our examination yielded no proptosis bilaterally and her motility was full. However conjunctival hyperemia, episcleral and conjunctival vessel engorgement were noted in OS (Figure 1 [Fig. 1]). Her best-corrected visual acuity was 20/20 in the right eye and 20/200 in the left eye. No relative afferent pupillary defect was noted. Color vision with Ishihara plates was 20/21 OD and 9/21 OS. Cornea was intact. Anterior chamber and vitreous were clear. Intraocular pressures with the Goldmann applanation tonometry were 12 and 14 mmHg in the right and left eyes respectively. While right fundus was normal fundus examination revealed a 360° exudative detachment in OS (Figure 2 [Fig. 2]). Computerized tomographic (CT) examination revealed chronic pansinusitis, left retinal detachment adjacent posterior scleritis, enlargement proximal optic nerve and retrobulbar striation due to cellulitis (Figure 3 [Fig. 3]). She was hospitalized and Ear Nose Throat (ENT) consultation was obtained. Pansinusitis with nasal polyps was diagnosed. Full systemic work-up was performed and no systemic disease was detected except the sinusitis. She was put on intravenous ceftriaxone and metronidazole. Conjunctival hyperemia and episcleral engorgement regressed and VA increased up to 20/70 in the left eye. Intravenous therapy was switched to oral sefuroxime and the patient was discharged. She returned one month later with decreased vision in her left eye again. She was experiencing pain with eyeball movements and the motility was also slightly restricted. This time visual acuity was hand motion in the OS and again there was 360° exudative detachment. She had a relative left afferent pupillary defect and color vision in the left eye was 0/21. She was readmitted and orbital CT was obtained again. Total paranasal sinus obliteration and scleral thickening was observed (Figure 4 [Fig. 4]). She was put on intravenous ceftriaxone and metronidazole and underwent sinus surgery and orbital decompression with polypectomy. Her visual acuity improved up to 20/100 two days after the surgery, stabilized at 20/30, exudative detachment had disappeared and no further recurrence occured during the follow-up of 10 months.
Figure 1: Dilated conjunctival vessels especially marked in the left eye
Figure 2: Color fundus picture depicting the exudative retinal detachment (a) and fundus autoflorescent imaging showing hypoautoflorescence corresponding to the detachment (b)
Figure 3: Axial non enhanced CT slice shows lost of the aeration in the ethmoidal sinuses and mucosal thickening in the sphenoid sinus revealed chronic sinusitis. On the left eye, retinal detachment and increased density and thickness in the adjacent sclera and optic nerve.
Figure 4: Coronal CT image shows pansinusitis, scleral thickening and suspected left lateral retinal detachment.
Conclusions
Inflammation is one of the major factor for exudative retinal detachment as it causes blood-ocular barrier breakdown and impairs the vascular permeability [1], [4], [5]. Green et al. [4], in their experimental study, reported that intravitreal endotoxin injection caused marked blood flow disturbances at the choroid level. A variety of systemic bacterial, fungal or viral infections such as tuberculosis, lyme disease, histoplasmosis, cryptococcus, herpes or cytomegalovirus were reported as etiological factors for exudative retinal detachments [5]. Exudative retinal detachment is treated according to the nature of underlying disease. For appropriate treatment, the underlying cause should be searched and thereby detailed systemic investigation should be carried out. Alten and Meyer [6], reported a 48-year-old woman with central serous chorioretinopathy (CSC) in association with pansinusitis who were initially treated with high-dose steroids and CSC was attributed to steroid usage. To the best of our knowledge, this is the first report of a case that developed exudative retinal detachment due to pansinusitis and only recovered after sinus surgery and orbital decompression surgery.
Notes
Competing interests
The authors declare that they have no competing interests.
References
[1] Spaide RF, Goldbaum M, Wong DW, Tang KC, Iida T. Serous detachment of the retina. Retina. 2003 Dec;23(6):820-46. DOI: 10.1097/00006982-200312000-00013[2] Kirchhof B, Ryan SJ. Differential permeance of retina and retinal pigment epithelium to water: implications for retinal adhesion. Int Ophthalmol. 1993 Feb;17(1):19-22. DOI: 10.1007/BF00918862
[3] Chihara E, Nao-i N. Resorption of subretinal fluid by transepithelial flow of the retinal pigment epithelium. Graefes Arch Clin Exp Ophthalmol. 1985;223(4):202-4. DOI: 10.1007/BF02174060
[4] Green K, Paterson CA, Cheeks L, Slagle T, Jay WM, Aziz MZ. Ocular blood flow and vascular permeability in endotoxin-induced inflammation. Ophthalmic Res. 1990;22(5):287-94. DOI: 10.1159/000267037
[5] Wolfensberger TJ, Tufail A. Systemic disorders associated with detachment of the neurosensory retina and retinal pigment epithelium. Curr Opin Ophthalmol. 2000 Dec;11(6):455-61. DOI: 10.1097/00055735-200012000-00012
[6] Alten F, Meyer CH. Plötzliche einseitige Visusminderung unter systemischer Steroidtherapie einer Pansinusitis [Sudden unilateral loss of vision under high-dosage corticosteroid therapy for pansinusitis]. HNO. 2011 May;59(5):511-3. DOI: 10.1007/s00106-010-2221-8



