Bilateral panuveitis associated with Whipple disease – case report
Maria Lisboa 1Isabel Domingues 1
Jaime Pamplona 2
Pedro Barata 3
Joana Morgado 4
Vítor Brotas 5
1 Ophthalmology Department, Centro Hospitalar de Lisboa Central EPE, Lisbon, Portugal
2 Neuroradiology Department, Centro Hospitalar de Lisboa Central EPE, Lisbon, Portugal
3 Oncology Department, Centro Hospitalar de Lisboa Central EPE, Lisbon, Portugal
4 Neurology Department, Centro Hospitalar de Lisboa Central EPE, Lisbon, Portugal
5 Internal Medicine Department, Centro Hospitalar de Lisboa Central EPE, Lisbon, Portugal
Abstract
Purpose: To describe a clinical case and literature review of Whipple disease.
Methods: A 65-year-old male with bilateral decreased visual acuity for 3 weeks as well as bilateral hypoacusia, vertigo, disequilibrium, headache and decreased strength in the right upper limb for 4 months. The clinical work-up revealed a bilateral panuveitis and an ischemic cerebellar stroke.
Result: The diagnosis of Whipple disease was confirmed by histopathological analysis of adenopathy. The patient was treated with cortico-antibiotic therapy with significant clinical improvement.
Conclusion: Although rare, Whipple disease is potentially fatal if left untreated, it must be always be taken into consideration before any panuveitis of an unknown cause, even in the absence of gastrointestinal symptoms.
Keywords
Uveitis, Tropheryma Whippelli, Whipple
Introduction
Whipple disease, first described in 1907 by George Whipple as “Intestinal Lipodystrophy”, is a systemic condition caused by the gram positive bacillus Tropheryma whippelli. Although rare, there are no valid estimates about its prevalence, with only about 1,000 cases documented in the literature [1]. The pathogenesis of clinical disease remains unknown, despite some evidence that points to a defect in the cell-mediated imune system [2]. It affects predominantly middle aged caucasian male individuals (about 80% of the cases [3]). It is generally considered an intestinal malabsorption pathology, but any organ system can be virtually affected. The most common symptoms are weight loss, abdominal pain and seronegative migratory polyarthralgias, but in about 15% of the patients this classic presentation may be absent [1].
The ophthalmological manifestations are rare and non-specific, and may result from primary intraocular involvement (2.7% [4]) or be secondary to central nervous system involvement. The most common are anterior uveitis, vitritis, retinitis and retrobulbar neuritis, but others include retinal or vitreous hemorrhages, edema of the optic papilla, keratitis, ophthalmoplegia and nystagmus. These manifestations often occur in association with other symptoms, including gastrointestinal and neurological events. Ocular Whipple disease, without involvement of the central nervous system (CNS) and in the absence of intestinal manifestations, is very rare and, consequently, difficult to diagnose.
Given its rarity, there are no rigorous clinical trials that determine the most appropriate treatment scheme. This later is based on the use of antibiotics with the ability to cross the blood-brain barrier during a long period of time. The disease is fatal if not properly treated. Even with the use of a specific and adequate antibiotic tretament, clinical relapses may occur in 2 to 33% of the cases after about 5 years of follow-up [1].
Clinical report
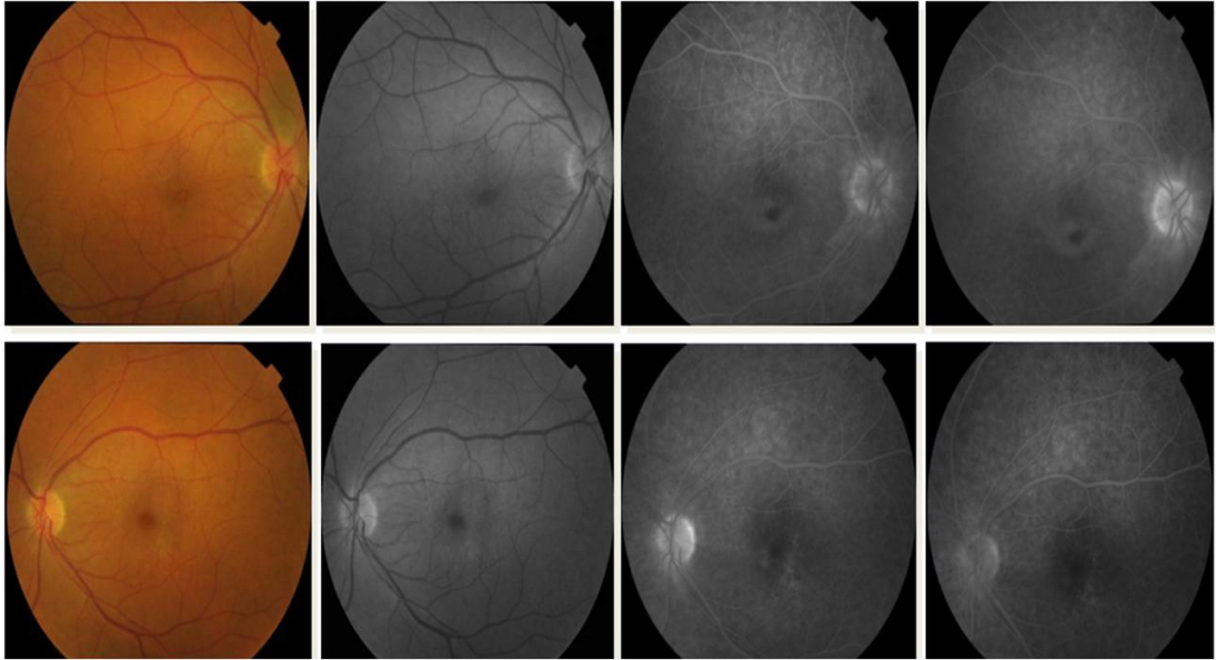
Male, 65-year-old, went to the emergency room complaining of decreased visual acuity bilaterally for 3 weeks, associated with bilateral hypoacusis, vertigo, dysequilibrium, holocranial headache predominantly occipital and frequent episodes of dysphagia for liquids, decreased strength in the right upper limb and limitation of neck mobility for 4 months prior to evaluation. The ophthalmological examination showed isochoric and reactive pupils, visual acuity of 2/10 RE and 6/10 LE, inflammation in the anterior chamber bilaterally (tyndall ++; some fine precipitates), vitritis, edema of the optic nerve head (RE>LE) and multiple retinal haemorrhages (Figure 1 [Fig. 1]). The neurological examination revealed posterior cervical contracture with limitation of extension, normal muscular tone, discrete right hemiparesis of brachial predominance, right osteotendinous hyperreflexia with cutaneous plantar reflex in flexion bilaterally, normal pain and proprioceptive sensitivity, coordination tests without changes, unstable gait with imbalance in turns and absence of meningeal signs.
Figure 1 : Initial retinography and angiography (RE and LE)
The analyses showed a sedimentation rate of 112 mm/h, leukocytosis (13,300 cells/µl/mm3 (90.9% N; 5.8% L)), C-reactive protein of 112,1 mg/L and increased γ globulins (25.3%) with elevated IgG (21 g/L) on protein electrophoresis. The remaining analytical evaluation was normal, including infectious serology (HIV, Borrelia burgdorferi, Mycoplasma pneumoniae, among others), autoimmunity study, pro-thrombotic factors and angiotensin-converting enzyme (ACE). The cranial and cervical MRI revealed a T2 hypersignal focus on the right cerebellum with restriction diffusion and correspondence on the apparent diffusion coeficiente (ADC) map, in relation to a likely acute ischemic vascular lesion. It also showed a difuse C3-C6 hypersignal on T2 related to a focus of edema/mielomalatia, in association with osteo-degenerative changes of the cervical spine. The spinal fluid output pressure on the lumbar puncture was within the normal range, as well as the cytochemical, microbiological and infectious serology exams. Considering the possible diagnosis of neuromyelitis optica (NMO), also known as Devic’s disease, an assay to detect NMO-IgG or aquaporin-4 antibodies was performed with a negative result. The Mantoux test was also negative. The thorax CT showed the existence of multiple small axillary and retrocrural adenopathy, which were then submitted to an image-guided biopsy. The histopathological analysis indicated the intracytoplasmic presence of multiple periodic acid-Schiff-positive bacilli, consistent with a Tropheryma Whippelli infection, as well as the absence of acid-alcohol resistent bacillus (BAAR) (Figure 2 [Fig. 2]). The PCR (polymerase chain reaction) detection of Tropheryma Whippelli on peripheral blood was negative. In light of these findings, the past medical history of the patient was further investigated, and he confirmed an episode of a rare infection manifested only with fever (he did not know the name of the disease), which was diagnosed in France, where he used to reside, and for which he was treated with sulfamethoxazole 800 mg and trimethoprim 160 mg for approximately 3 years.
Figure 2: Ganglionic biopsy, PAS
At this time, with deterioration of visual acuity (1/10 RE and 4/10 LE) and after histopathological confirmation of Whipple disease, the patient started steroid (bursts of methylprednisolone ev 1000 mg for the first 5 days and then prednisolone po 40 mg per day) and antibiotic treatment with ceftriaxone ev 2 g per day for a period of 14 days. After a week of therapy an improvement of the ophthalmological clinical picture was noticed, with a visual acuity of 4/10 RE and 8/10 LE, normal anterior segment biomicroscopy and improvement of the vitritis and of the edema of the optic nerve head bilaterally, besides the presence of cystoide macular edema on the right eye. After 14 days of intravenous antibiotic therapy, the patient began a course of sulfamethoxazole-trimethoprim (800 mg + 160 mg), which is expected to be maintained for 2 years.
Two months later, already having started to reduce the scheme of corticotherapy, the patient had a visual acuity of 7/10 RE and 10/10 LE, having developed an epiretinal membrane (ERM) on the right eye.
Discussion
The clinical presentation of Whipple disease only with ocular manifestations is very rare [5], with the gastrointestinal and joint symptoms being by far the most common. This clinical case that we have described may constitute an exception since the disease was manifested in the form of a serious and bilateral panuveitis. However, and despite the fact that the concomitant cerebellar stroke might have been a simple coincidence, the changes detected in the neurological exam cannot all be explained by the minor ischemic cerebelar lesion, by that we cannot exclude the possible contribution of a hypothetical vasculitic phenomena sometimes associated with this disease. Furthermore, evidence has been found of at least three cases of cerebral Whipple disease with similar symptoms to that of a stroke [6], and this may be the fourth case. No less relevant, and although based only in information obtained from the patient, this case is most likely a relapse, assuming that the initial episode occurred about 25 years earlier in a nonspecific form (fever).
Whatever the framework, whether it is a case of isolated ocular manifestations with a concomitant but unrelated cerebellar stroke, the case of ocular and cerebral events attributable to Tropheryma Whippelli, or the case of a recurrence, in all we can assume a very rare form of Whipple disease.
The histopathological diagnosis was not confirmed by PCR of the peripheral blood, which is not a mandatory condition since that only 50–60% of this tissue samples are positive [7]. Thus, PCR must be performed in more than one tissue type in order to improve the sensitivity of this exam, although it was not done in this case. On the other hand, it must be emphasized that the PCR detection of T. Whippelii in tissue samples supports the hypothesis of local active bacterial infection instead of an immunologically mediated process [7].
The lifesaving value of antibiotic treatment in Whipple disease is known for more than 50 years. However, given that it is a very rare disease, there is no consensus as to the best antibiotic therapy scheme. Some authors believe that many patients (43–100%) have CNS colonization by T. Whippelli without neurological signs [6], so the use of drugs with good penetration through the blood-brain barrier (BBB) should be common practice and not only reserved for cases with neurologic or ophthalmic involvement. In this patient we chose the therapy scheme of intravenous ceftriaxone for 14 days, because it is a drug that rapidly crosses the BBB, followed by oral sulphamethoxazole/trimethoprim for a likely 2 year period. According to several reports, this latter association seems to be linked to a decrease in the recurrence frequency compared to, for example, tetracycline.
After the beginning of the cortico-antibiotic treatment there was a significant clinical improvement, as shown by the angiography images taken 2 months after the initiation of therapy (Figure 3 [Fig. 3]), as well as improvement of visual acuity bilaterally, with total recovery on the left eye. The visual acuity of 7/10 on the right eye can be justified by the further development of an epiretinal membrane (Figure 4 [Fig. 4]). From a neurological point of view, there was a full restoration of the deficits presented at the admission.
Figure 3: Retinography and angiography 2 months after the beginning of therapy (RE and LE)
Figure 4: Macular OCT of the right eye showing an epiretinal membrane
In conclusion, this is a very rare case of recurrence of Whipple disease in that the manifestations were exclusively ophthalmological and, probably, neurological, with the exception of the small axillary and retrocrural adenopathy that were only identified by CT-scan. These later allowed for the histopathological confirmation of this disease whose diagnosis is often delayed.
To summarise, Whipple disease is potentially fatal if left untreated, so a diagnosis must be considered before any panuveitis of unknown cause even in the absence of gastrointestinal symptoms.
The approach must be a ready treatment with a suitable antibiotic scheme and continuous surveillance in order to prevent possible recurrences.
Notes
Competing interests
The authors declare that they have no competing interests.
References
[1] Fenollar F, Puéchal X, Raoult D. Whipple's disease. N Engl J Med. 2007 Jan;356(1):55-66. DOI: 10.1056/NEJMra062477[2] Razonable RR, Pulido JS, Deziel PJ, Dev S, Salomão DR, Walker RC. Chorioretinitis and vitreitis due to Tropheryma whipplei after transplantation: case report and review. Transpl Infect Dis. 2008 Dec;10(6):413-8. DOI: 10.1111/j.1399-3062.2008.00322.x
[3] Durand DV, Lecomte C, Cathébras P, Rousset H, Godeau P. Whipple disease. Clinical review of 52 cases. The SNFMI Research Group on Whipple Disease. Société Nationale Française de Médecine Interne. Medicine (Baltimore). 1997 May;76(3):170-84.
[4] Dobbins WO 3rd. Whipple’s disease. Springfield: Charles C Thomas; 1987.
[5] Williams JG, Edward DP, Tessler HH, Persing DH, Mitchell PS, Goldstein DA. Ocular manifestations of Whipple disease: an atypical presentation. Arch Ophthalmol. 1998 Sep;116(9):1232-4. DOI: 10.1001/archopht.116.9.1232
[6] Chan RY, Yannuzzi LA, Foster CS. Ocular Whipple's disease: earlier definitive diagnosis. Ophthalmology. 2001 Dec;108(12):2225-31. DOI: 10.1016/S0161-6420(01)00818-1
[7] Misbah SA, Mapstone NP. Whipple's disease revisited. J Clin Pathol. 2000 Oct;53(10):750-5. DOI: 10.1136/jcp.53.10.750



