Traumatic diaphragmatic ruptures: clinical presentation, diagnosis and surgical approach in adults
Sabine Hofmann 1Marko Kornmann 1
Doris Henne-Bruns 1
Andrea Formentini 1
1 Department of General, Visceral and Transplant Surgery, University of Ulm, Germany
Abstract
Objective: Traumatic diaphragmatic injuries are rare, but potentially life-threatening due to herniation of abdominal organs into the pleural cavities. They can be easily overlooked on initial diagnostics and a high index of suspicion is required. The aim of this retrospective study was to analyze the clinical presentation, diagnostic methods and surgical management of patients with diaphragmatic rupture at our institution.
Methods: A retrospective study was performed to analyze our experience with patients suffering from traumatic diaphragmatic rupture. Charts were reviewed for sex, age, side-location, concomitant injuries, time-to-diagnosis, diagnostic methods, surgical approach and outcome.
Results: Fourteen patients (median age: 46 yrs, range 18–71, 9 male, 5 female) with diaphragmatic injuries (left side: 10, right side: 4) were treated between July 2003 and September 2011. Mechanism of injury was a penetrating trauma (14%), blunt trauma (50%) and others (36%). Associated abdominal injuries included spleen rupture (n=3), liver laceration (n=2), abdominal wall laceration (n=2) and gastric perforation (n=1). Computed tomography was the most sensitive diagnostic method. All patients underwent trans-abdominal repair of the diaphragmatic defect (direct suture: 10, prosthetic mesh insertion: 4). Associated abdominal procedures included splenectomy (n=3), liver packing (n=2), abdominal wall reconstruction (n=2) and partial gastric resection (n=1). Morbidity and hospital mortality rate were 36% and 0%, respectively. Median postoperative hospital stay was 17 days (range: 7–40 days).
Conclusion: Morbidity and mortality of diaphragmatic ruptures are mainly determined by associated injuries or complications of diaphragmatic herniation like incarceration of viscera or lung failure. Early diagnosis helps to prevent severe complications. Spiral CT-scan is the most reliable tool for acute diagnosis of diaphragmatic rupture and associated visceral lacerations. Laparotomy is an adequate surgical approach for diaphragmatic repair, especially in cases of associated abdominal organ injury.
Keywords
diaphragmatic rupture, diagnosis, surgery, outcome
Introduction
The true incidence of traumatic diaphragmatic rupture is unknown. Morgan et al. [11] reported that about 5% of all patients undergoing emergency laparotomy for trauma have a diaphragmatic injury and these data are confirmed by an autopsy series after blunt abdominal trauma showing rupture of the diaphragm in 5% of patients [2]. An analysis focusing on thoracoabdominal trauma showed diaphragmatic injuries’ rates of 2.1% for blunt and 3.4% for penetrating trauma [17]. However, in countries with low violent crime rates traumatic diaphragmatic rupture is due to motor vehicle collisions in 80–90% of cases [8]. In the future, the incidence of traumatic diaphragmatic rupture is expected to be increasing as numbers of high energy motor vehicle collisions rise and survival of other previously lethal injuries improves [5]. Diaphragmatic rupture remains a diagnostic and therapeutic challenge to physicians. As there is no reliable radiological diagnostic procedure, diagnosis is frequently missed leading to a delay between trauma occurrence and diagnosis and consequently to an increase of mortality and morbidity [10]. Therefore the diagnosis of a diaphragmatic injury requires a high index of suspicion and meticulous analysis of the individual trauma mechanism. The involvement of two body cavities may cause problems in identifying the path of injury and in choosing the appropriate surgical approach. Potential life threatening associated injuries call for prompt operative attention whereas in case of massive herniation with heart luxation, visceral incarceration or organ perforation diaphragmatic injuries necessitate urgent attention [1]. The aim of this retrospective study was to analyze clinical presentation, diagnostic methods and surgical management of patients with diaphragmatic rupture at our institution.
Material and methods
A retrospective evaluation of patients that were treated operatively with the diagnosis of a traumatic diaphragmatic injury between July 2003 and June 2011 at the Department of General Surgery of the University of Ulm was undertaken. Medical charts were reviewed concerning age, gender, clinical presentation, type of injury, diagnostic methods, time to diagnosis, localization of rupture, associated injuries, surgical approach and procedure, hospital stay, postoperative morbidity and mortality.
Results
During the study period a total of 14 patients were operated with the diagnosis of a traumatic diaphragmatic rupture. The median age of the study population was 46 years (range 18–71 years). There were 9 male (64%) and 5 female (36%) patients.
The mechanism of injury was a penetrating trauma in 2 patients (14%) due to a stab wound of the abdomen and thorax, whereas 7 patients (50%) had a blunt trauma including traffic accidents (n=6) and fall from a tree (n=1). Three injuries (22%) were caused by very unusual trauma mechanisms as we assumed according to the previous clinical history: one patient suffered from diaphragmatic rupture occurring after a cough induced rib fracture, one patient became symptomatic after workout in a gym studio and one patient was pregnant and suffering from hyperemesis gravidarum. In two patients (14%) diaphragmatic injury occurred probably after previous surgery operation as no history of trauma was known: one patient had undergone gastrectomy 2 years before whereas another one had received surgery for a fracture of the first lumbal vertebra. A summary of clinical patients’ characteristics is given in Table 1 [Tab. 1].
Table 1: Clinical characteristics of study population
Seven patients (50%) were admitted to the emergency department as a consequence of trauma or because of acute onset of symptoms and early diagnosis (<12 hours) was made by the initial diagnostics. In two further patients (14%) delayed diagnosis was made within 24 hours from admission. Four patients (29%) had a late diagnosis of rupture after a period of 4 months to 9 years from assumed accident or iatrogenic trauma. Three of them became symptomatic after a median of 6 months after trauma (range: 4–10 months) whereas one patient with a right-sided diaphragmatic rupture and consecutive herniation of liver, stomach and colon into the pleural cavity was diagnosed 9 years after trauma. In one case (7%) the time spread between rupture and onset of symptoms remained unclear.
Seven patients (50%) had chest radiographs with four patients (57%) having suspicion of diaphragmatic rupture. Four patients (33%) received ultrasound, but only one (25%) was suspicious of diaphragmatic hernia. Twelve patients (86%) had CT-Scan which revealed diaphragmatic injury in 10 cases (83%). Interestingly, in one polytraumatized patient the diaphragmatic injury remained undetected in the first CT-scan and was suspected on x-ray after extubation two days later. In another patient the diaphragmatic defect was not evident on the first CT-scan, but on the second one some days later.
The localization of the injury involved the left side of the diaphragm in 10 (71%) and the right side in 4 patients (29%). A description of the frequency of intrathoracic organ herniation according to the site of injury and of associated injuries is given in Table 2 [Tab. 2] and Table 3 [Tab. 3], respectively.
Table 2: Frequency of organ dislocation according to site of rupture
Table 3: Frequency of associated injuries
The operative approach was trans-abdominal in all cases. Five patients (36%) underwent upper transverse incision and eight (57%) midline incision. In one case (7%) the operation was started laparoscopically, but it was converted to open surgery due to the severity of the concomitant liver laceration. The repair technique consisted of direct suture of the diaphragm in 10 cases (71%). The suture was interrupted in seven and continuous in three cases whereas material was non-absorbable in three and slow-absorbable in seven cases. In four patients (29%) insertion of a prosthetic mesh was needed to ensure tension-free closure of the defects. Associated abdominal procedures included splenectomy because of rupture (n=3), liver packing (n=2), abdominal wall reconstruction (n=2) and partial gastric resection due to perforation (n=1). In one patient segmental small bowel resection was performed, because of an incidental intraoperative finding of stenosis.
Postoperative complications occurred in five patients (36%), and included both-sided pulmonary embolism (n=1), reversible multi-organ failure (n=1) and wound-infection (n=1). One patient needed several revisions due to complications from anastomotic leakage after bowel-resection. Persistent pleural effusion was seen in one patient with the need of repeated pleural drainage. Prolonged mechanical ventilation up to three days was necessary in three patients and for 6 and 22 days in two further patients.
There was no mortality up to discharge and no known history of hernia-relapse. Median postoperative hospital stay was 17 days (range: 7–40 days). A prolonged postoperative hospital stay was mainly caused by the severity of the associated injuries.
Discussion
The diaphragm is a flat, dome-shaped septum stretching horizontally between sternum, lower ribs and the lumbal spine and consisting of a peripheral muscular and a central tendinous part. The diaphragm has two functions: it is the most important respiratory muscle and it separates the abdominal from the thoracal cavity. The latter is of major importance for clinical consequences in case of diaphragmatic injuries [11].
Traumatic ruptures of the diaphragm are often the result of severe accidents like blunt or penetrating trauma. Blunt or indirect trauma is mainly caused by traffic accidents or fall from height [18], [6]. It commonly leads to laceration of the posterolateral part as this develops as the weakest part during embryological period and is hit by a pressure gradient at the time of high-impact accidents [4], [20], [14], [19]. Penetrating or direct trauma to the diaphragm can be caused by gunshot injuries, stab wounds or impalement lesions [11]. The ratio of blunt to penetrating trauma is a mirror of regional socioeconomic conditions. In the literature reports of blunt trauma are more common (approximately 75%), but the ratio differs from 3:1 to 1:8 according to different series [18], [9], [6], [15].
Although the true incidence of diaphragmatic rupture is not known, data from the literature suggests that it is an uncommon event [18], [4]. It is seen in 1–7% of major blunt traumas and 10–15% of patients with penetrating trauma [15], [18]. This confirms our observation of only 14 cases over a period of 8 years in a hospital being a regional trauma referring center.
Several papers report a higher proportion of young male patients in the 4th decade of life with traumatic diaphragmatic rupture [1]. This is consistent with the observations in our study where the median age was 46 years and 64% of the patients were male.
Road accidents represented in our study the most frequent cause for injury, according to most published reports [4], [1], [15], [6]. However, we also observed occurrence of diaphragmatic rupture as a consequence of very unusual mechanisms (gym studio, vomiting in pregnancy, heavy coughing). There have been several reports in the literature about unusual causes for diaphragmatic rupture as well, such as delivery, severe vomiting, heavy coughing, weight lifting or strenuous swimming after a jump into the water from a height of half a meter [13], [7].
Diaphragmatic injuries are more frequently located on the left side [9], [1]. Left-sided ruptures after blunt trauma seem to occur more often due to a so-called cushioning effect of the liver, increased strength of the right hemi-diaphragm and weakness of the left hemi-diaphragm at the spots of embryonic fusion [1], [6], [4]. Other authors however stated that left-sided ruptures are not more common, but right-sided ones are easier missed and cause a greater pre-hospital mortality [16].
A typical feature of diaphragmatic rupture has been described as a “both ends of the spectrum” clinical presentation [11]. There can be a variety between a complete lack of symptoms, mild symptoms like nausea, difficulty in breathing, abdominal, thoracal or shoulder tip pain and acute symptoms due to visceral obstruction, strangulation or perforation, culminating in multiorgan failure. Especially in the presence of a diaphragmatic tear without visceral herniation patients may be asymptomatic for years [14]. One patient was admitted to our hospital in a state of septic shock, because of an intrathoracic hollow organ perforation whereas another one was first diagnosed because of unclear liver enzyme elevation due to a liver herniation nine years after a car accident.
Commonly associated injuries are viszeral lacerations of the thoracal or abdominal organs and bone fractures. In the literature, the most likely associated fractures were pelvic fractures [14] and rib fractures [4]. Most organ injuries involve the spleen, the lungs and the liver [1], [11]. Our observation showed the predominant combination with serial or singular rib fractures, followed by pelvic fractures, fracture of the spine and sternum. Most frequent visceral lacerations were splenic ruptures, pulmonary contusion, pneumothorax, liver laceration and cardiac contusion.
Diagnosis of traumatic diaphragmatic rupture remains a challenge for physicians and most authors suggest the need for a “high level of suspicion” to identify this lesion. It can easily remain undetected at first examination and diagnosed delayed after days or even years [6], [16]. This is due to several reasons. First, the patients are often poly-traumatized and other injuries may be more apparent at the time of initial treatment. Second, the diaphragmatic defect without herniation of abdominal organs can be easily overlooked on X-ray or even CT-scan and causes no clinical symptoms [14]. Third the findings on X-ray can be misjudged, especially when diaphragmatic injury is not suspected. Additionally, in patients receiving mechanical ventilation with positive pressure ventilation the herniated organs may be pushed down [4]. Therefore it can be helpful to repeat diagnostics after extubation. Clinical diagnosis is hardly reliable because clinical signs are not specific for diaphragmatic injury [1]. Nevertheless, suspicion must be raised in patients with massive thoracal or abdominal trauma when intrathoracal bowel sounds are found on examination while breath-sounds are missing.
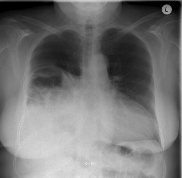
Accuracy of chest X-ray has been described as high as 62% for left-sided but only 17% for right-sided injuries [11]. In our study chest X-ray (Figure 1 [Fig. 1]) showed diaphragmatic hernia in 4 of 7 patients (57%). Abdominal/pleural ultrasound seems to have an even lower accuracy in detecting diaphragmatic rupture. Accuracy was 0% to 26% in various studies [10], [12]. In our series in only one of four patients ultrasound was suspicious for diaphragmatic injury.
Figure 1: Thoracal X-ray of a patient with right-sided diaphragmatic rupture
Multi-slice spiral CT-scan (Figure 2 [Fig. 2]) has a sensitivity as high as 80% with a specifity of 100%, according to various studies [11]. Moreover, when used as a diagnostic tool in patients with blunt or penetrating trauma or poly-traumatized patients it allows a fast and reliable scanning of all concomitant injuries. We observed a correct diagnosis by CT-scan in 10 of 12 patients (83%) with no false-positive results. Thus CT-scan is to date the study of choice to detect diaphragmatic injury.
Figure 2: Axial CT-scan of a patient with a right-sided diaphragmatic hernia. Tension-pneumothorax due to an intrathoracal gastric perforation.
There is no doubt about the necessity of surgical intervention to treat diaphragmatic ruptures. However, controversies exist concerning the decision for surgical approach, procedure and repair technique. Depending on the predominance of intraabdominal or intrathoracal organ injuries and on the surgeons’ own experience as well as on local hospital facilities, the cavity that is entered will be chosen [11]. The use of thoracoscopy and/or laparoscopy as an alternative to open surgery is limited by patient’s general health state and the severity of concomitant organ lesions [4]. The operative steps are equal for all approaches, consisting of hernia-reduction, repair of associated visceral lesions and closure of the diaphragmatic defect. A summary of reported repair techniques is given in Table 4 [Tab. 4]. Although the technique of suture (interrupted or running) was not homogeneous in all studies, all authors used non-absorbable material for direct suture as well as for prosthetic mesh. In large defects (Figure 3 [Fig. 3]) prosthetic mesh will be needed to ensure tension-free closure [11]. Closure of diaphragmatic defects was reported to be easier if early diagnosis was done, before fibrosis develops [6]. In our series all patients received laparotomy. Different methods and materials for direct suture were used in ten patients whereas prosthetic mesh was inserted in four patients. To our knowledge there was no reported recurrence after diaphragmatic repair during the study period.
Table 4: Suture’s technique and material: review of the literature
Figure 3: Intraoperative finding in a patient with a right-sided diaphragmatic rupture, which was diagnosed 9 years after a car accident. After the long time-interval fibrosis of the margins has developed, with a shrinking of the tissue. Closure by prosthetic mesh was needed because of the large diaphragmatic defect.
Morbidity and mortality are mainly determined by the severity of associated injuries, preoperative hernia-related complications like strangulation, incarceration and perforation of abdominal viscera, pulmonary compression or common perioperative complications like pneumonia, shock or pulmonary embolism. Mortality rates reported in the literature range between 10% and 35% [4]. In our series the morbidity rate was 36% and there was no mortality up to discharge.
In summary, traumatic diaphragmatic rupture is a rare entity in patients with blunt or penetrating trauma and the diagnosis is a challenge to the treating physicians. Suspicion for this condition is the first step of detection. The most reliable diagnostic method is a spiral CT-scan that is helpful for diagnosing concomitant injuries as well. Associated injuries are often associated with diaphragmatic rupture and determine the patient’s prognosis in most cases. Surgical repair is mandatory and should be performed as soon as possible to prevent potentially life-threatening hernia-related complications.
Notes
Competing interests
The authors declare that they have no competing interests.
References
[1] Al-Refaie RE, Awad E, Mokbel EM. Blunt traumatic diaphragmatic rupture: a retrospective observational study of 46 patients. Interact Cardiovasc Thorac Surg. 2009;9(1):45-9. DOI: 10.1510/icvts.2008.198333[2] Beigi DAA, Masoudpour H, Sehhat S, Khasemi EF. Prognostic factors and outcome of traumatic diaphragmatic rupture. Ulus Travma Acil Cerrahi Derg [Turkish Journal of Trauma and Emergency Surgery]. 2010;16(3):215-9.
[3] Celik A, Altinli E, Köksal N, et al. Diagnostic process and management of diaphragmatic injuries: approach in patients with blunt and penetrating trauma. Ulus Travma Acil Cerrahi Derg [Turkish Journal of Trauma and Emergency Surgery]. 2010;16(4):339-43.
[4] Chugtai T, Syed Ali, Sharkey P, Lins M, Rizoli S. Update on managing diaphragmatic rupture in blunt trauma: a review of 208 consecutive cases. Can J Surg. 2009;52(3):177-81.
[5] Düzgün AP, Özmen MM, Saylam B, Cofikun F. Factors influencing mortality in traumatic ruptures of Diaphragm. Ulus Travma Acil Cerrahi Derg [Turkish Journal of Trauma and Emergency Surgery]. 2008;14(2):132-8.
[6] Dwivedi S, Banode P, Gharde P, Bhatt M, Johrapurkar SR. Treating traumatic injuries of the diaphragm. J Emerg Trauma Shock. 2010;3(2):173-6. DOI: 10.4103/0974-2700.62122
[7] Hillenbrand A, Henne-Bruns D, Wurl P. Cough induced rib fracture, rupture of the diaphragm and abdominal herniation. World J Emerg Surg. 2006;1:34. DOI: 10.1186/1749-7922-1-34
[8] Lee WC, Chen RJ, Fang JF, et al. Rupture of the diaphragm after blunt trauma. Eur J Surg. 1994;160(9):479-83.
[9] Meyers BF, McCabe CJ. Traumatic diaphragmatic hernia. Occult marker of serious injury. Ann Surg. 1993;218(6):783-90. DOI: 10.1097/00000658-199312000-00013
[10] Mihos P, Potaris K, Gakidis J, et al. Traumatic rupture of the diaphragm: experience with 65 patients. Injury. 2003;34(3):169-72. DOI: 10.1016/S0020-1383(02)00369-8
[11] Morgan BS, Watcyn-Jones T, Garner JP. Traumatic Diaphragmatic Injury. J R Army Med Corps. 2010;156(3):139-49.
[12] Nau T, Seitz H, Mousavi M, et al. The diagnostic dilemma of traumatic rupture of the diaphragm. Surg Endosc. 2001;15(9):992-6. DOI: 10.1007/s004640090096
[13] Özguc H, Garp G, Kirdak T. A case of diaphragmatic rupture after strenuous exercise (swimming) and jump into the sea. Ulus Travma Acil Cerrahi Derg [Turkish Journal of Trauma and Emergency Surgery]. 2009;15(2):188-90.
[14] Pantelis D, Burger C, Hirner A, Wolff M. Indirekte traumatische Zwerchfellruptur – Unfallmechanismus und Diagnostik. Chirurg. 2005;77(4):360-6. DOI: 10.1007/s00104-005-1103-1
[15] Petrone P, Leppäniemi A, Inaba K, Soreide K, Asensio JA. Diaphragmatic injuries: challenges in the diagnosis and management. Trauma. 2007;9(4):227-36. DOI: 10.1177/1460408607087716
[16] Rashid F, Chakrabarty M, Singh R, Iftikhar S. A review on delayed presentation of diaphragmatic rupture. World J Emerg Surg. 2009;4:32. DOI: 10.1186/1749-7922-4-32
[17] Rubikas R. Diaphragmatic injuries. Eur J Cardiothorac Surg. 2001;20(1):53-7. DOI: 10.1016/S1010-7940(01)00753-9
[18] Sacco, R, Quitadamo S, Rotolo N, Di Nuzzo D, Mucilli F. Traumatic diaphragmatic rupture: personal experience. Acta Biomed. 2003;74(Suppl 2):71-3.
[19] Steinau G, Bosman D, Dreuw B, Schumpelick V. Zwerchfellverletzungen – Klassifikation, Diagnostik und Therapie. Chirurg. 1997;68(5):509-12. DOI: 10.1007/s001040050221
[20] Tan K K, Yan Z Y, Vijayan A, Chiu M T. Management of diaphragmatic rupture from blunt trauma. Singapore Med J. 2009;50(12):1150-3.



